削る量が少ないブリッジ

03-5927-8250

24時間WEB予約

キービジュアル

ブリッジ希望。
だけど、「削りたくない・・・」

  • 「健康な歯」を削るブリッジに抵抗がある
  • インプラント治療が「怖い」
  • 入れ歯の「見た目」が嫌だ
こんな方に、削る量が少ないブリッジをご提案します

歯を削りたくない方のための接着ブリッジ

従来のブリッジ治療では、失われた1本の歯を補うために、両隣の健康な歯を削る必要があります。これは患者さんにとって大きな負担となります。

しかし、歯への負担を抑えられる方法もあります。それが、接着ブリッジです。この治療法では、健康な歯をほとんど削らずに、失った歯を補うことができます。以下で、この治療法について詳しくご説明します。

接着ブリッジとは

接着ブリッジは、歯の裏側から金属やセラミック素材を使用して歯を補う治療法です。以下のようなメリットがあります。

メリット1健康な歯をほとんど削らない

メリット2歯の神経を残すことができる

メリット3治療期間が短く、1~2回の通院で完了

メリット4金属アレルギーのリスクがない

メリット5外科処置をしなくてもいい

メリット6目立ちにくく、審美性が高い

こうした利点がある一方で、通常のブリッジと比べると、外れやすいというデメリットもあります。一般的なブリッジとの違いを理解した上で選択することが大切です。

一般的なブリッジと接着ブリッジの比較については以下の表をご覧ください。
メリット
デメリット
一般的なブリッジ
●固定力が強い
●健康な歯を削る
●歯の神経を除去するケースがある
接着ブリッジ
●歯をほとんど削らない
●歯の神経を残せる
●固定力が弱い

接着ブリッジが向かない場合もあります

接着ブリッジは多くのメリットがある治療法ですが、すべての患者さんに適応できるわけではありません。適応不可と診断された場合には、インプラント入れ歯など、他の治療法をご提案いたします。

☑ 治療部位の左右に天然歯が残っている
☑ 支えとなる歯に虫歯や歯周病などの問題がない
☑ 強い噛み合わせの力が集中しにくい位置である

特徴!「ダイレクトブリッジ」にも対応しています

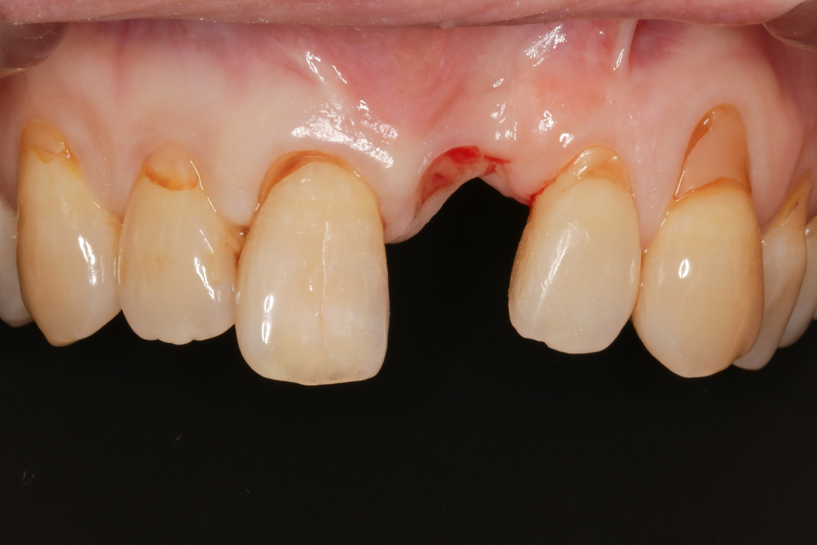
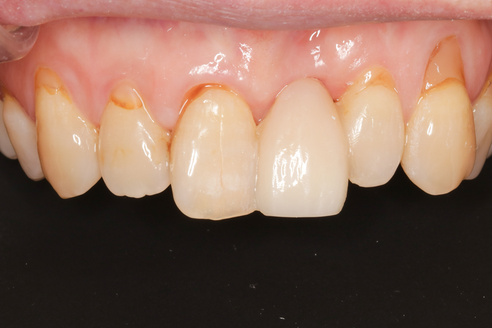
  • 治療前
  • 治療後
ダイレクトブリッジは接着ブリッジの一種で、口腔内でコンポジットレジン(CR)を直接築盛し、歯の形を作り上げていく治療法です。
精密な接着操作や咬み合わせの調整など高度な技術が求められるため、対応できる歯科医院は限られています。

接着ブリッジでは材料の厚みを確保するために歯を削る量が増える場合がありますが、ダイレクトブリッジでは口腔内で直接形態を作製できるため、必要最低限の形成で済み、歯を削る量をさらに抑えられるケースがあります。

一方で、歯ぎしりや食いしばりなどの力が加わると破損するリスクがあるため、治療後はナイトガードの使用が必須となるケースが多いです。

歯科医師として大切にしていること

このページをご覧いただいている方の中には、「歯を削りたくない」「神経を残したい」といったご希望をお持ちの方もいらっしゃると思います。一度失った歯は元に戻すことができないため、残された歯を守りたいと考えるのは自然なことです。

接着ブリッジは、歯を削る量が少なく、天然歯への影響を抑えた治療法です。見た目も自然に仕上がります。

ただし、どの治療にもメリットとデメリットがあります。治療法の選択は患者さんごとに異なります。当院では、まずご相談いただき、患者さんのお話を伺った上で、お一人おひとりに合った治療法をご提案いたします。

初診「個別」相談へのご案内

当院では、患者さんが抱えていらっしゃるお口のお悩みや疑問・不安などにお応えする機会を設けております。どんなことでも構いませんので、私たちにお話ししていただけたらと思います。
ご興味がある方は下記からお問い合わせください。

ご予約・お問い合わせ03-5927-8250

24時間WEB予約

〒170-0005
東京都豊島区南大塚3-44-14
シティハウス南大塚レジデンス 1階

大塚駅から3分
新大塚駅から5分

PAGE TOP