接着修復治療へのこだわり

03-5927-8250

24時間WEB予約

キービジュアル

世界をリードする接着技術で
再発率
0%を目指す

~東京医科歯科大学 名誉教授推薦~

なぜ、歯科治療後に「再発」すると思いますか?

歯科治療をしたのに、なぜ、また悪くなってしまうの??
このように思われた方も少なくないはずです。

結論をお伝えすると、
詰め物と歯との間に「隙間」が生じ、そこから虫歯菌などが入り込み、内部で虫歯が再発するためです。

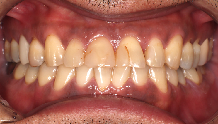
次の画像をご覧ください。
どれも治療してからわずか数年で、詰め物の内部で虫歯が再発していたケースです。
これは防ぐことはできるのでしょうか?

結論、できます。
簡単にお伝えすると、「隙間が生じない接着」を達成できれば、再発は防げます。

しかし、言うは易しで、実際に行うとなると、どの医院でもできるものではなくなります
接着技術に対しての深い知識、経験、設備、材料管理など、様々な条件をクリアし始めてできる治療になります。

成功率99.9988%を達成させるために

この数字は、当院で接着修復治療を実施後、3年経過後に再治療になった件数と確率です。
再発率0%は達成できませんでしたが、99%以上の成功率を達成しています。これを可能にしている環境や取り組みをご紹介します。

世界の「接着技術を牽引」する東京医科歯科大学での学び

実は東京医科歯科大学は接着技術分野において世界最高峰に位置しており、ここでの研究結果が世界でも活用されています。つまり、ここでの学びは、そのまま世界最先端の治療ということになります。ここでの学びが私たちの接着修復治療の基盤なっています。

また、接着修復技術のレベルの高さや、歯を守る(保存する)技術を公的に認定する機関「日本歯科保存学会」の認定医/専門医も当院には在籍しています。
また保存修復治療の「専門チーム」が当院にはあります。どのメンバーも東京科学大学(旧東京医科歯科大学)名誉教授の田上純次先生ら学んだ接着修復治療の教えをベースに日々診療を行っています。

世界的論文で効果が実証された「接着材/接着処理」

歯科用接着剤は多く存在しますが、当院で利用している接着剤は多くの論文でその接着力が立証されたものを利用しています。しかし、いくら接着剤が優秀だとしても、接着に至るまでのその他の環境や処理方法が悪ければ、再発の温床になる「隙間」が生じます。

具体的には次の取り組みを行います。

✅ラバーダムの利用
唾液混入による接着力の低下を防ぐ役割。

✅歯が長持ちする削り方の工夫
削り方ひとつで歯がが持ちするか否かが大きく変わります。

✅科学的に実証されている接着技法/材料
科学的に実証されている接着技法・材料のみを使用。

その他にも多くの取り組みがありますが、これらを行うことで、大人10人がぶら下がっても取れない接着力を出すことが可能になります。

接着材料の「ワインセラーによる温度湿度」管理

歯科材料は温度や湿度によりその効用は変化します。そのため当院では温度湿度を医院全体として管理するため、天井埋め込み型のカセット式ダイキン空調を全室に導入しています。また、より厳密な温度湿度調整をするため、「ワインセラー」にて接着材料の保管をしています。ここまでこだわった材料管理をしている医院は全国的にごく一部のクリニックに限られます。

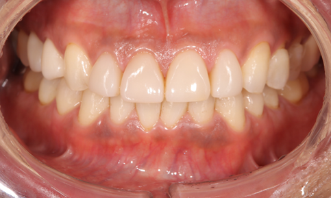
接着修復技術を駆使し再発率0%を目指す

  • 治療前
  • 治療後
  • 治療前
  • 治療後
  • 治療前
  • 治療後
  • 治療前
  • 治療後

治療範囲に合わせ、治療法を選択

当院では最高峰の接着修復技術を活用し「美しさ×機能性×長期安定」をテーマに治療を行いますが、治療範囲に応じて2つの治療法があります。

■セラミックインレー/セラミッククラウン

セラミックやジルコニアの詰め物、被せ物を利用する治療法です。歯型をとり、技工士が詰め物・被せ物を製作しお口にセットする皆さんがイメージしてる治療法です。治療範囲が中程度~大きい場合はこの方法を選択します。

【メリット】
✅治療範囲が大きくても適用できる
✅白い素材なので審美的に優れる
噛み合せが強くても対応できる

【デメリット】
✅ダイレクトセラミックよりも削る範囲が広い
✅2~3回の来院が必要
✅術者の知識・技術により治療の質が大きく変わる

■ダイレクトセラミック治療

治療範囲が小さい~中程度に適応されます。接着剤を浸透させながら、光を当て薄く詰めては固める工程を繰り返し、お口の中で歯の形態を作っていく方法です。1日で完了する方法で、歯を削る量も最小限に抑えられる患者さんにとてもやさしい治療法です。

【メリット】
✅詰め物などと比較し、歯を削らない
✅白い素材なので審美的に優れる
✅虫歯除去から歯が1日で完成する

【デメリット】
✅大きい虫歯治療にはあまり適さない
✅歯軋りが重度の場合は適さない
✅術者の知識・技術により治療の質が大きく変わる
✅強い衝撃が加わるとチッピングといって詰めものの一部がかけることが稀にある(ただ、修理がしやすく、修理しながら歯を長寿化できる)

コラム歯のヒビ、割れた、歯の形態変更にも対応

ダイレクトセラミックはこのようなこともできます!

接着修復治療の1つであるダイレクトセラミック治療は次のような状態の改善も可能です。

✅歯の表面のヒビの修復
折れた歯の修復
歯の形を変える

上記は、セラミックの被せ物でも処置はできますが、歯を大きく削る必要がありました。しかし、ダイレクトセラミック治療の場合、光照射で固めるまではどのような形にもすることができるため、そもそも「削って被せる」というものではありません。そのため歯を大きく削らずに処置が可能になります。
  • 治療前
  • 治療後
歯のヒビをダイレクトセラミックで改善したケース。
  • 治療前
  • 治療後
歯のヒビをダイレクトセラミックで改善したケース。
  • 治療前
  • 治療後
折れた歯をダイレクトセラミックで改善したケース。

ご自身の歯を「大切」に考えている方へ

削って、詰める。また悪くなれば、もう一度削る。痛みが出たら治療する。
症状が落ち着けば終わり。

その繰り返しの先に待っているのは――
歯の寿命が確実に縮んでいく未来です。

やがて神経を取り、被せ物をし、限界が来れば抜歯。
そして、入れ歯かインプラント。

それが「当たり前」になっていないでしょうか。

しかし、考えてみてください。歯は一度削れば、二度と元には戻りません。治療とは、本来“回復”のはずなのに、歯科治療は“減らしていく医療”になっていないでしょうか。

それは本当に、あなたの将来を見据えた医療と言えるのでしょうか。

私たちは、その流れから脱却します

目指すのは、「悪くなったら治す」医療ではなく、「悪くならないようにする」医療。
✅虫歯や歯周病を発症させない
✅治療が必要になっても再発させない
✅できる限り削らない
✅できる限り抜かない

そのために、原因を徹底的に追究し、場当たり的ではない治療を行います。

歯の本当の寿命は、もっと長いはずです。10年後、20年後も、自分の歯で噛める未来を守ること。それこそが、本来あるべき歯科医療だと私たちは考えます。

もしあなたが「これ以上、歯を失いたくない」と思うなら。
その未来を、私たちと一緒に変えていきませんか。

初診「個別」相談へのご案内

当院では、患者さんが抱えていらっしゃるお口のお悩みや疑問・不安などにお応えする機会を設けております。どんなことでも構いませんので、私たちにお話ししていただけたらと思います。
ご興味がある方は下記からお問い合わせください。

ご予約・お問い合わせ03-5927-8250

24時間WEB予約

〒170-0005
東京都豊島区南大塚3-44-14
シティハウス南大塚レジデンス 1階

大塚駅から3分
新大塚駅から5分

PAGE TOP