ダイレクトセラミックスの症例写真を掲載しております。
治療内容や期間、費用や、メリット・デメリットについてもご説明しております。
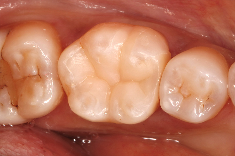
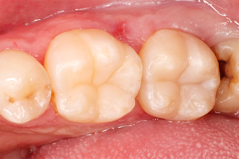
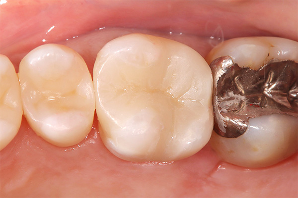
症例写真集
こちらのWEB予約は初診の方専用です。
再診の方は診療時間内にお電話でご予約をおとりください。
WEB予約で表示されてない時間も診察できることがありますので、お電話にてお問い合わせください。
(お電話:03-5927-8250)
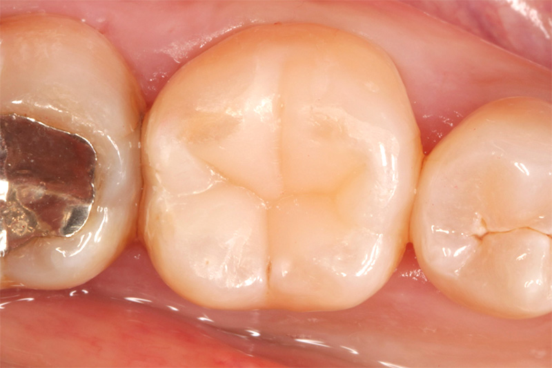
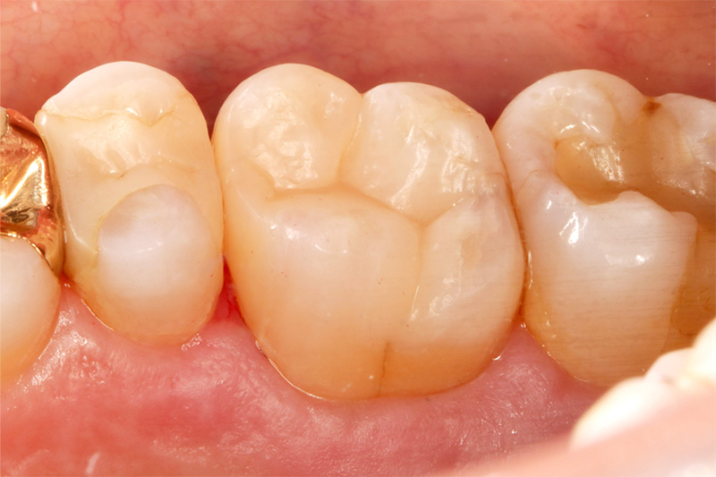
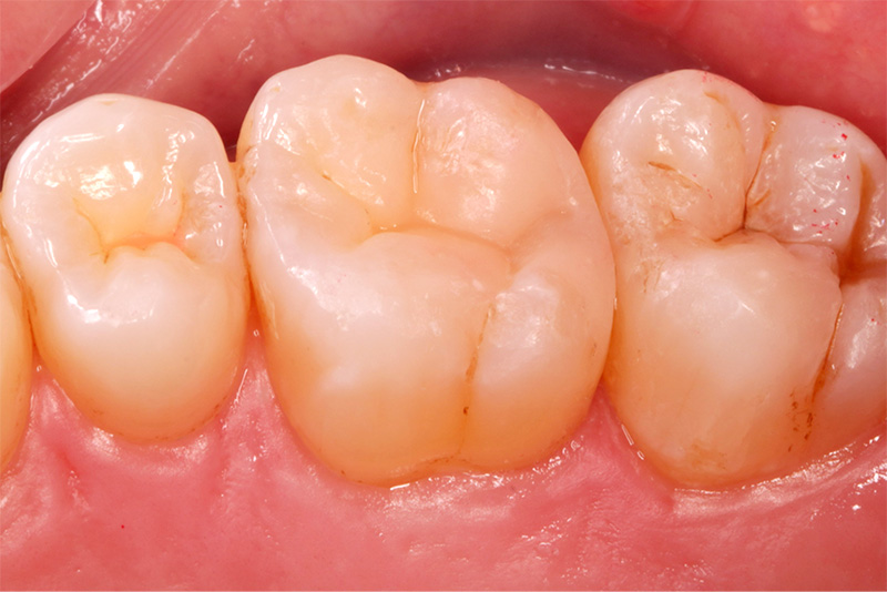
症例写真集
こちらのWEB予約は初診の方専用です。
再診の方は診療時間内にお電話でご予約をおとりください。
WEB予約で表示されてない時間も診察できることがありますので、お電話にてお問い合わせください。
(お電話:03-5927-8250)



