抜歯を回避する治療

03-5927-8250

24時間WEB予約

キービジュアル

抜歯」とわれても
あきらめないください

  • セカンドオピニオン対応
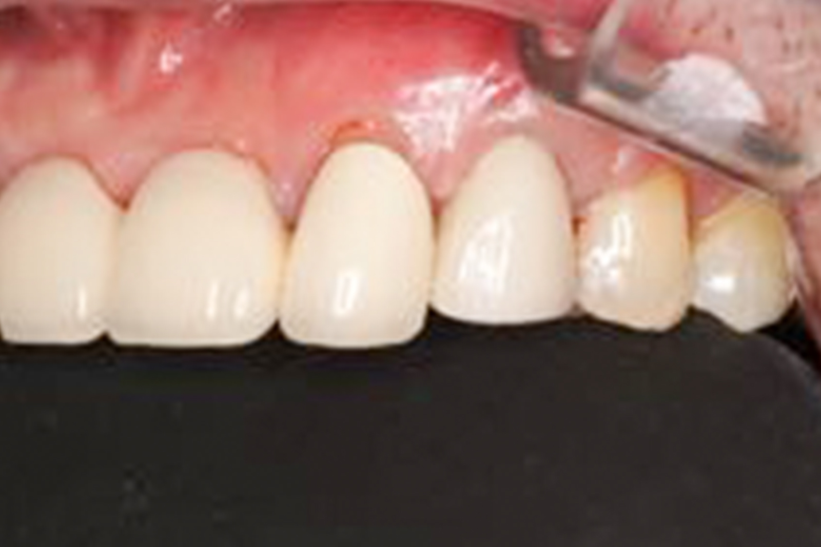
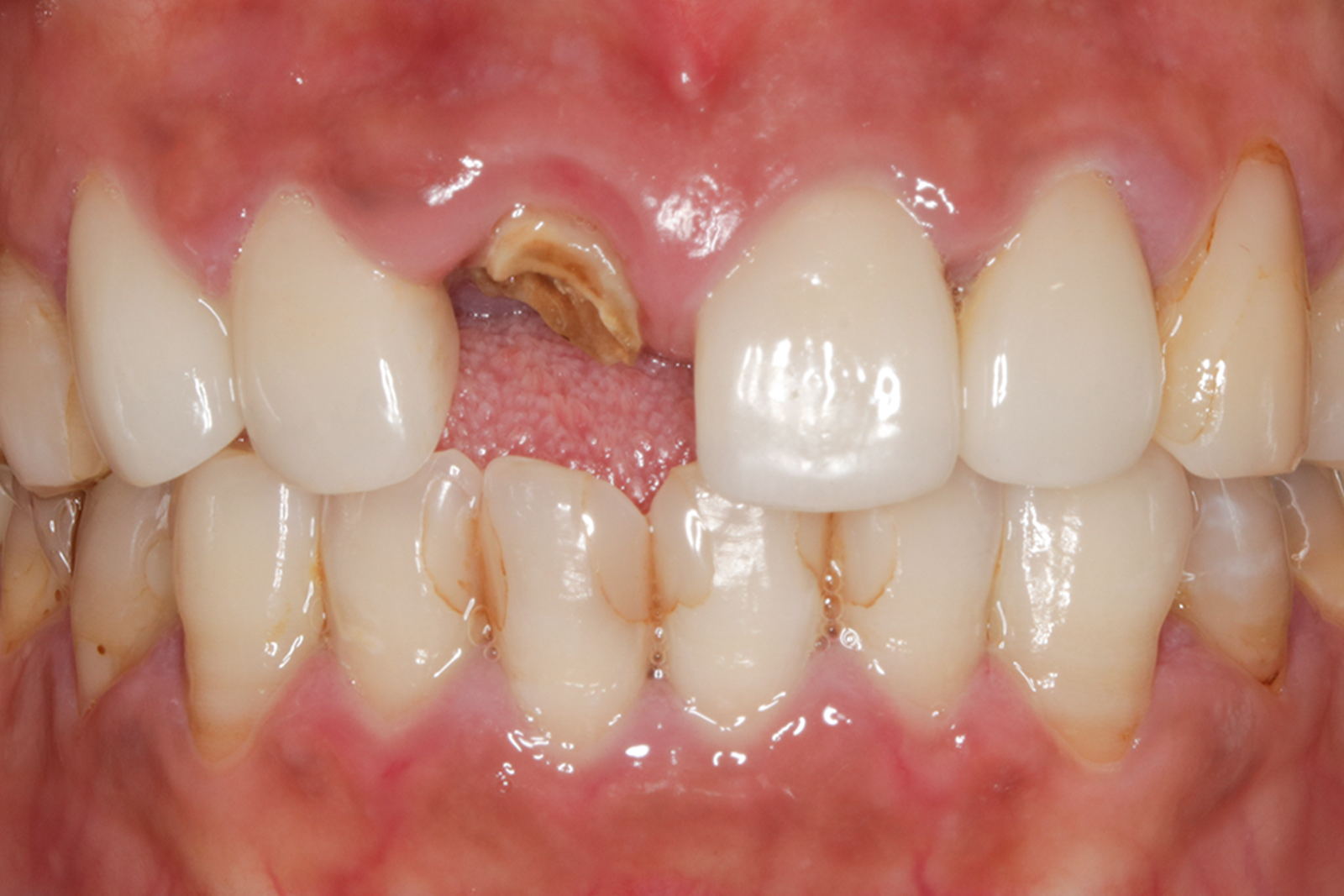
  • 治療前
  • 治療後
  • 治療前
  • 治療後

「抜歯しかない」と言われた方へ

虫歯や歯周病が進行した場合、「抜歯が必要」と診断されることがあります。

しかし、すべてのケースで歯を抜かなければならないわけではありません。

当院では、患者さんの負担をできるだけ減らすため、「エクストリュージョン」「クラウンレングスニング」等の治療を用いて可能な限り歯を抜かない治療を大切にしています。
これらの治療は専門的な技術が必要なため、対応している歯科医院は多くありません。

以下ではそれぞれの治療について詳しくご説明します。

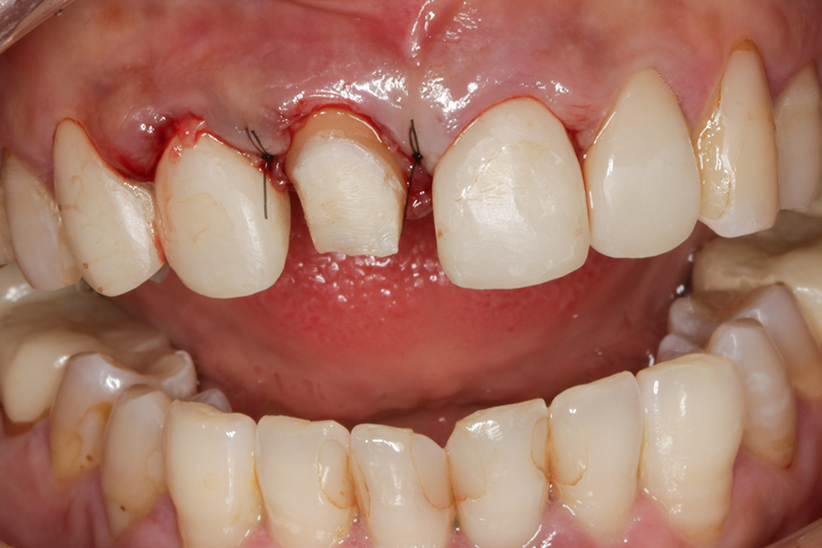
崩れてしまった虫歯を治療する「エクストリュージョン」

虫歯が進行して歯が大きく崩れてしまうと、多くのケースで「もう残せない」「抜歯しかない」と説明を受けることがあります。 当院では、そうしたケースでも「エクストリュージョン」という治療法によって、歯を抜かずに残せる可能性があります。

エクストリュージョンは、歯を少しずつ引き上げて、被せ物ができる状態まで回復させる治療です。

エクストリュージョンは対応している歯科医院が限られる治療法ですが、当院では日常的に行い、抜歯をできるだけ避ける保存型の歯科治療に取り組んでいます。

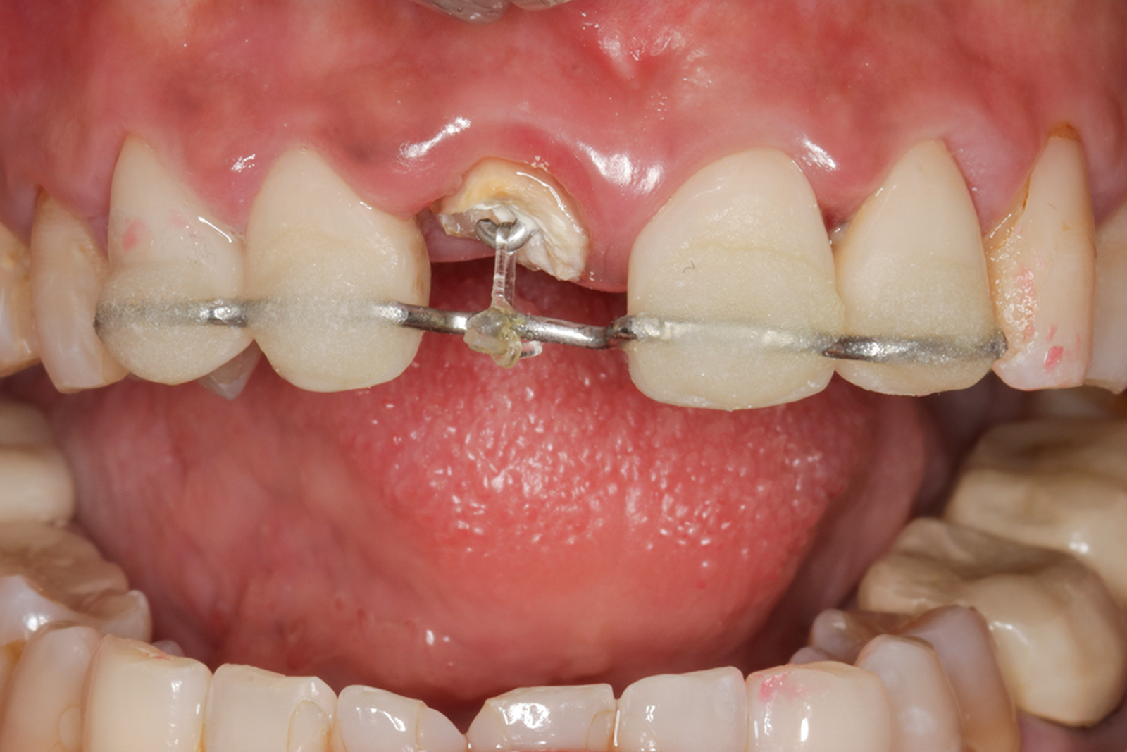
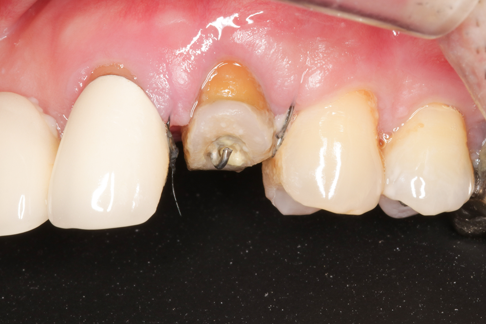
被せ物を安定させるための外科処置「クラウンレングスニング」

虫歯や破折によって歯ぐきの中までダメージが及ぶと、被せ物が安定せず、再治療を繰り返してしまうことがあります。
クラウンレングスニングは、歯肉や歯槽骨を調整して歯ぐきの位置を下げ、歯ぐきの中に埋もれている歯の根を露出させる治療です。

クラウンレングスニングも、専門的な知識と経験が必要なため、実施している歯科医院は多くありません。
当院では、傷が目立ちにくく、患者さまの負担をできるだけ軽減することを重視しています。

重度の歯周病でも歯を残せる可能性を探ります

歯周病が進行すると、歯を支える骨が失われ、「抜歯が必要」と診断されることも少なくありません。

当院では、歯周組織再生療法を用い歯を支える環境の回復を目指します。治療法にはいくつか種類がありますが、「エムドゲイン法」「リグロス」「GTR法」という3つの方法で治療を行っています。

エムドゲイン法

エムドゲイン法とは、「エムドゲインゲル」と呼ばれる薬剤を患部に塗布し、本来体に備わっている骨の再生能力を引き出す治療法です。
骨の再生は、約8か月かけてゆっくりと進みます。

リグロス(保険適用)

当院では、保険が適用される「リグロス」という再生材料も使用しています。
効果は、先にご説明した「エムドゲイン」と同等ですが、こちらは保険対象となります。

費用面が理由で治療をためらっていた方にも、治療を受けていただけるようになりました。

GTR法

GTR法とは、「メンブレン」と呼ばれる特殊な膜を使用し、失われた骨の回復を促す治療法です。

骨には本来再生する力がありますが、骨よりも歯肉のほうが再生速度が速いため、骨が再生するはずの空間を歯肉が先に覆ってしまいます。

その結果、通常は骨の再生が起こりにくくなります。メンブレンを用いることで、骨が再生するために必要なスペースを確保することが可能です。
歯肉の影響を受けずに、骨の再生を促すことができるようになります。

抜歯を決断する前に、知っておいてほしいこと

歯医者で「抜歯しかない」と言われ、不安や迷いを感じている方も多いと思います。

実際には、歯の状態によっては、抜歯以外の選択肢を検討できる場合もあります。

当院では、できるだけ歯を残すことを大切にしながら、一人ひとりの状態に合わせた治療方法をご提案しています。 抜歯について悩まれている方は、どうぞお気軽にご相談ください。

初診「個別」相談へのご案内

当院では、患者さんが抱えていらっしゃるお口のお悩みや疑問・不安などにお応えする機会を設けております。どんなことでも構いませんので、私たちにお話ししていただけたらと思います。
ご興味がある方は下記からお問い合わせください。

ご予約・お問い合わせ03-5927-8250

24時間WEB予約

〒170-0005
東京都豊島区南大塚3-44-14
シティハウス南大塚レジデンス 1階

大塚駅から3分
新大塚駅から5分

PAGE TOP