ダイレクトセラミック治療

03-5927-8250

24時間WEB予約

キービジュアル

ダイレクトセラミック治療

2026年4月1日

40代女性

悪いところがあればすべて治療をしたい、とのことで来院されました。
メタルインレー(銀歯)の”不適合”(詰めものと歯の間の段差・隙間・隙間の着色など)を認め、治療することになりました。痛みなどの症状はありませんでした。

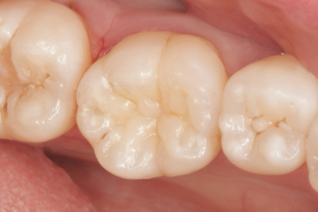
  • 治療前
  • 治療後

治療の工程

  • 銀歯の不適合(歯と詰め物があっていない状態)


  • はずすと中は虫歯になっていました。歯を削らずに虫歯の部分だけをピンポイントにとっていきます。


  • 唾液や呼気が入ると、接着力が下がったり、細菌感染するので、それらを防ぐためにラバーダムをします(緑)。


  • 大変強力な接着の処理をしていきます。


  • 薄く詰めものを流し込んでは、特殊な光を当てて固めることを何度も繰り返します。


  • それぞれの方の個性に合わせた、噛み合わせの面を再現し、永久歯の生えたたての状態に近づけます。


治療内容・期間・費用について

治療内容 ダイレクトセラミック治療(ダイレクトボンディング)
治療日数・期間 1日【 約1時間で1本完成 】
治療費用 88,000円(税込)/1歯

メリット/デメリット・リスク

メリット
    • 年間約1000症例の実績。当院で一番多く行われる治療。
    • 3年で99.4%、10年で90%持つという極めて高い成功率が報告されている
    • 歯を削る量を最小限にすることができる
    • その場で、口の中で直接 歯を作り上げる治療。
    • 型取りがなく、虫歯除去から歯が1日で完成する
    • どの詰めもの治療・被せもの治療のなかでも、最も高い接着力を発揮する(型取りをする治療より型取りのない治療の方が高い接着力を発揮すると言われている)
    • 接着力が高いことで隙間が限りなくできにくく虫歯再発を防止する
    • 当院では、多数の論文で圧倒的な接着力がでると実証された接着方法のみを採用。大人10人ぶら下がってもとれない接着力があると言われている(1cm²に換算)。
    • 自分の歯とほとんど区別がつかない審美性
デメリット・リスク
    • 大きい虫歯治療にはあまり適さない
    • 歯軋りが重度の場合は適さない
    • 強い衝撃が加わるとチッピングといって詰めものの一部がかけることが稀にある(ただ、修理がしやすく、修理しながら歯を長寿化できる)
    • 術者の知識・技術、クリニックの治療環境により治療の質が大きく変わる

初診「個別」相談へのご案内

当院では、患者さんが抱えていらっしゃるお口のお悩みや疑問・不安などにお応えする機会を設けております。どんなことでも構いませんので、私たちにお話ししていただけたらと思います。
ご興味がある方は下記からお問い合わせください。

ご予約・お問い合わせ03-5927-8250

24時間初診専用
WEB予約

〒170-0005
東京都豊島区南大塚3-44-14
シティハウス南大塚レジデンス 1階

大塚駅から3分
新大塚駅から5分

PAGE TOP