虫歯治療

03-5927-8250

24時間WEB予約

キービジュアル
日本歯科保存学会「認定医」在籍

世界レベルの「接着修復治療」で
再発率0%を目指す

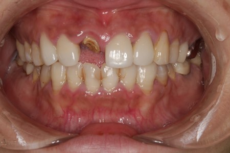
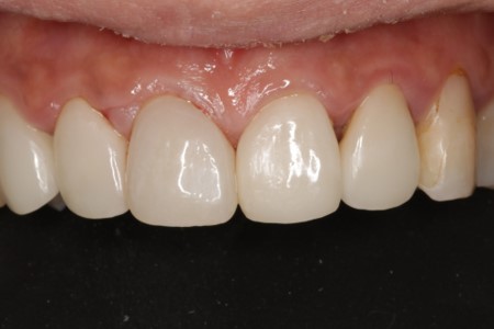
  • 治療前
  • 治療後
  • 治療前
  • 治療後

当院の虫歯治療に対する考え

虫歯治療と聞くと多くの方が「悪くなったところ削って被せ物をする」というイメージをお持ちだと思います。
そのため、被せ物の材料によって治療の精度が変わるのでは?と考える方もいらっしゃるのではないでしょうか。

しかし、実際はそうではありません。
虫歯治療の精度は被せ物を精密に歯に被せる接着修復治療によって大きく変わります。

具体的にお伝えすると、被せ物と歯との間に隙間ができるとそこから虫歯菌が侵入してしまいます。
つまり、治療が終わったと思っても被せ物の下で虫歯が進行してしまうということです。

こうした背景から、当院では接着のエキスパートによる被せ物の治療を大事にしています。
詳しくは「接着修復治療へのこだわり」のページにまとめておりますので、ぜひご覧ください。

注目!東京科学大学(旧東京医科歯科大学)名誉教授 田上純次先生から推薦

当院の院長Dr.大林は、東京科学大学(旧東京医科歯科大学)名誉教授の田上純次から接着修復治療を学びました。
接着修復治療は日本が最高峰とされ、Dr.田上はその第一人者とも呼べる存在です。

世界中の歯科医師がDr.田上の下に集まり、その知識と技術力は世界の田上と呼ばれるほどです。当院は院長をはじめ、スタッフ全員がDr.田上の教えをベースに日々診療を行っています。

痛みをほとんど感じない虫歯治療

「虫歯の治療は痛いもの」そんな不安を抱えている方は多いのではないでしょうか。
過去に虫歯治療で痛い思いをしたために、歯医者への足が遠のいてしまったという声もよく耳にします。

しかし、近年は治療技術の進化によって、痛みを最小限に抑える虫歯治療が可能になっています。
当院では、「痛みがほとんどない」治療法を取り入れ、すべての患者さんに安心して受診いただけるよう努めています。

痛みを和らげるための「表面麻酔」

治療時には注射による麻酔が必要な場合があります。
しかし、「その麻酔注射自体が痛いんだ」と心配される患者さんもいらっしゃいます。

当院では表面麻酔を使用し、注射を打つ箇所に、あらかじめ麻酔薬を塗ります。
麻酔がしっかり効いてから注射を行うので、痛みを軽減できます。

痛みを抑える「極細針」

注射の痛みは、使用する針が細ければ細いほど軽くなります。
当院では極細の針を採用し、さらに表面麻酔も組み合わせることで、注射時の痛みをほとんど感じないように工夫しています。

電動麻酔注射の導入

麻酔液を急激に注入すると、周囲の組織が一気に押し広げられ、神経が圧迫されることで痛みが生じることがあります。

当院では、注入速度を一定に保てる電動麻酔注を使用し、組織への負担を抑えることで痛みの軽減に努めています。

痛みを抑えるための注射技術

お口の中には、刺激に敏感な部分と、比較的痛みを感じにくい部分があります。当院の歯科医師はその違いを把握したうえで、できるだけ痛みが出にくいポイントから段階的に麻酔を効かせていきます。

音が静かで振動が少ない「5倍速コントラ」

虫歯治療と聞くと「キュイーン」というドリルの回転音を思い浮かべる方も多いのではないでしょうか。この音が治療への恐怖心や不快感につながることがあります。

そこで当院では、振動や回転音を抑えた静かなドリル5倍速コントラを使用しています。
音へのストレスを軽減できるため、治療中の緊張も和らぎます。音が気になる方は、遠慮なくお知らせください。

コラム歯科恐怖症の方におすすめの「睡眠無痛治療」

ここまで、痛みをできるだけ抑えるための取り組みをご紹介してきました。
それでもなお、「歯医者が怖い」「治療そのものが恐怖」と感じてしまう歯科恐怖症の患者さんもいらっしゃいます。
当院では、そうした強い不安をお持ちの方のために、睡眠無痛治療(静脈内鎮静法)を行っています。
鎮静剤を点滴で投与し、うとうとと眠っているような状態で治療を進めるため、恐怖心や緊張を感じにくくなります。

治療中の記憶もほとんど残りません。また、歯科治療でお口に器具が入ると吐き気を感じやすい嘔吐反射がある方にも、負担の少ない方法です。

虫歯の再発を防ぐために

虫歯治療で本当に大切なのは、痛みを取ることや見た目を整えることだけではありません。
治療後に、同じ歯を二度と虫歯にしないこと
当院は、そこまでを含めて「虫歯治療」だと考えています。

「一度治したはずの歯が、また虫歯になった」

その多くは、歯と被せ物・詰め物の間にわずかなすき間が生じ、そこから虫歯菌が再侵入することで起こります。
だからこそ当院では、見た目や一時的な症状の改善にとどまらず、虫歯菌の再侵入を許さない治療精度を、虫歯治療の軸に据えています。

世界トップクラスの接着技術による再発防止

U DENTAL CLINICの再発防止治療の中核にあるのが、世界トップクラスの接着技術です。

被せ物をや詰め物や単に「被せる」「詰める」のではなく、歯と修復物を一体化させるレベルで精密に接着することで、虫歯菌の侵入経路そのものを断ちます。

この接着技術には、

・適切な材料選択
・唾液や湿度を徹底的に管理した処置環境
・ミクロン単位での精度を求める治療手技

が欠かせません。

院長はこれまで、自身が担当した被せ物・詰め物の治療において、虫歯の再発を経験していません。それは特別な幸運ではなく、再発を前提にしない治療を一貫して行ってきた結果だと考えています。

日本歯科保存学会「認定医」が在籍

当院には日本歯科保存学会「認定医」が在籍しております。
この資格は「歯をできるだけ残す治療(保存治療)」に関する高度な知識と、技術を持ち合わせた歯科医師のみに与えられる資格です。
取得するためには、日本歯科保存学会が決める厳しい条件をクリアしなければなりません。

「再発しない虫歯治療を受けたい」という方をはじめ、「抜歯を避けたい」「他院で抜歯を宣告された」という方もぜひ一度ご相談ください。
  • 大林 翔
  • 牧 圭一郎

お口の善玉菌バランスを整える「プロバイオティクス」

虫歯は「虫歯菌が増えすぎること」で進行します。

虫歯菌だけをゼロにするのは難しいのですが、良い菌を増やしてバランスを整えると、虫歯菌が悪さしにくくなります。

その“良い菌”を補うのがプロバイオティクスです。
治療後の予防として取り入れることで、虫歯の再発を防ぐ助けになります。

可能な限り「神経を残す」虫歯治療

歯の痛みを感じたとき、多くの歯科医院では神経を除去する治療が選択されます。
しかし、歯の神経(歯髄)には血管が通っており、歯に栄養を届ける大切な役割があります。
神経を失うと栄養が行き届かなくなり、時間とともに歯は弱くなってしまいます。

もちろん、歯の状態によっては、神経を取ることが最適な場合もあります。
ただし、歯の健康を長く保つためには慎重な判断が欠かせません。
当院では、できる限り「神経を残す」治療を大切にしています。

以下に、その考え方についてご紹介します。

歯髄の保存を可能にする「MTAセメント/バイオセラミック」

MTAセメントバイオセラミックは、歯の中を治す際に使われる“歯にやさしい高品質な材料”です。
傷んだ部分をしっかりと封鎖し、細菌が入りにくい環境をつくることで、治療の成功率を高めてくれます。

また、生体親和性も高く、歯を長く守る力が強いため、根管治療や神経を残す治療などで幅広く使用されています。
  • MTAセメント
  • バイオセラミック

虫歯が神経に近い場合は「間接覆髄法」

虫歯が進んでいても、神経までは達していない場合があります。
虫歯と神経の距離が2mm以下でも、神経の上に歯がわずかに残っている状態です。
この段階では、痛みや知覚過敏が出ることがあります。

当院では、このようなケースに「間接覆髄法」を行います。
虫歯を削ったあと、「MTAセメント」で神経の上を覆い、神経を守る治療法です。

神経が露出している場合は「直接覆髄法」

虫歯が進行すると、削った際に神経が露出してしまうことがあります。
神経は細菌に弱く、感染すると炎症を起こしやすくなるため、治療では細菌の侵入や炎症を防ぐことが最も重要です。

このような場合に行うのが、「直接覆髄法」です。
露出した神経の上を、「MTAセメント」で直接覆い、殺菌と保護を行います。
神経を守りながら、できるだけ歯を残すための治療法です。

部分的な炎症は「断髄法」で治療

虫歯が深く進行し、神経に達している場合、神経を取る治療を提案されることが多くあります。
ただし、炎症が神経の一部に限られているときは、すべての神経を除去する必要はありません。
そのようなケースでは、部分断髄法を選択します。

部分断髄法では、炎症を起こしている神経だけを取り除き、健康な神経はできるだけ残します。
切除した部分はMTAセメントやバイオセラミックで覆い、神経を保護します。
歯の機能を保ちながら、神経を残すための治療法です。

歯をできるだけ削らない虫歯治療

これまでの虫歯治療では、患部を大きく削り、その後被せ物や詰め物をする方法が一般的でした。
ただ、必要以上に歯を削ってしまうと、再発したときの治療が難しくなり、最悪の場合は抜歯が必要になることもあります。

歯の寿命を長く保つために大切なのは、健康な部分をできるだけ残すことです。
理想は、虫歯の部分だけを削り、問題のない歯質には手を加えない治療です。

当院では、この考え方をもとに、さまざまな最新技術や方法を駆使して虫歯治療を行っています。
治療方法については、お口の状態に合わせてご説明しますので、気になることがあればご相談ください。

精密な治療を可能にする「マイクロスコープ」と「高倍率ルーペ」

虫歯と健康な歯の境目を、肉眼だけで正確に見分けるには限界があります。
当院では治療の際、視野を拡大して確認することを基本としています。

具体的には、「マイクロスコープ」「高倍率ルーペ」を使用し、患部を細かく確認しながら治療を行います。
患部を十数倍に拡大して確認することで、虫歯の部分だけを見極めながら削ることができます。
必要以上に歯を削らないための、大切な工程です。

虫歯部分を赤く染める「う蝕検知液」

虫歯の治療では、う蝕検知液という検査薬を使います。
虫歯に感染している部分に反応して色がつくため、削る必要のある場所を確認しながら治療を進めることができます。

色がついた部分だけを削ることで、健康な歯をできるだけ残し、必要以上に削らないよう配慮しています。

できるだけ「歯を抜かない」ためには

虫歯がひどく進行している場合、抜歯が必要になることもあります。
抜歯後の治療としては、「入れ歯」「ブリッジ」「インプラント」などが一般的ですが、体への負担が大きく、不安を感じる方も少なくありません。

また、噛み心地や感覚は、どうしても天然の歯には及ばないのが現状です。
当院では、そうした負担をできるだけ減らすため、可能な限り「歯を抜かない」治療を大切にしています。

※ただし、歯の状態によっては、抜歯が最も適した選択となる場合もあります。すべてのケースで抜歯を避けられるわけではありませんが、まずは歯を残せる可能性を丁寧に検討します。

以下に、当院の考え方と治療の選択肢について詳しくご紹介します。

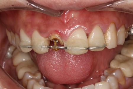
崩壊した虫歯の治療法「エクストリュージョン」

虫歯が進行して歯が大きく崩れてしまうと、削って被せ物を装着するための部分が残らないことがあります。
このような場合、多くのケースで「抜歯」が選択されます。

当院では、そうしたケースでも「エクストリュージョン」という治療法によって、歯を抜かずに残せる可能性があります。

エクストリュージョンは矯正治療の一種で、歯ぐきの中にある歯の根を少しずつ外に引き出し、被せ物を装着できるスペースを確保する治療です。歯を残せる可能性を広げながら、噛む機能や見た目にも配慮した治療を行います。

歯肉切開で歯の根を出す「クラウンレングスニング」

クラウンレングスニングは、歯ぐきを切開して歯の根を外に露出させる外科的な治療法です。
歯ぐきの中に埋もれてしまった歯の根を見える状態にすることで、新しい被せ物を安定して装着できるようにします。

歯の根周辺を治療する「歯根端切除術」

神経を取り除いた歯で炎症が再発すると、歯の根のまわりに膿が溜まることがあります。
症状が軽い場合は根管治療で対応できますが、炎症が強い場合には抜歯を勧められることもあります。

ただ、当院では「歯根端切除術」によって、歯を抜かずに対応できるケースがあります。

歯根端切除術では、歯ぐきを開き、炎症の原因となっている歯の根の先端と膿を取り除きます。
取り除いた後にできた空洞は、いったん血液で満たされ、時間の経過とともに骨が再生していきます。

コラム重度の歯周病で歯を守りたい方へ

日本人が歯を失う主な原因は歯周病です。進行すると、歯を支える骨が溶けてしまい、最悪の場合は歯が抜け落ちることもあります。その状態によっては、抜歯を選ぶ医院も少なくありません。

当院では、重度の歯周病の場合でも、歯周組織再生療法によって抜歯を避けられるケースがあります。失われた歯周組織の回復を目指し、歯を支える環境を整える治療法です。この方法について詳しく知りたい方は、ぜひお問い合わせください。

初診「個別」相談へのご案内

当院では、患者さんが抱えていらっしゃるお口のお悩みや疑問・不安などにお応えする機会を設けております。どんなことでも構いませんので、私たちにお話ししていただけたらと思います。
ご興味がある方は下記からお問い合わせください。

ご予約・お問い合わせ03-5927-8250

24時間初診専用
WEB予約

〒170-0005
東京都豊島区南大塚3-44-14
シティハウス南大塚レジデンス 1階

大塚駅から3分
新大塚駅から5分

PAGE TOP