インプラント

03-5927-8250

24時間WEB予約

キービジュアル
インプラントのエキスパートが在籍

難症例」こそお任せ!

  • 「インプラントの専門医」在籍
  • 手術が怖い人には「睡眠無痛治療」
  • 顎骨が少なくても対応可
セカンドオピニオンにも対応しています。
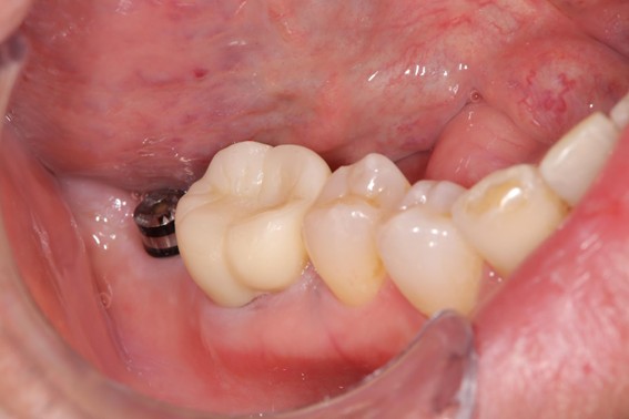
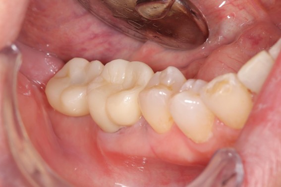
  • 治療前
  • 治療後

身体への負担に配慮したインプラント治療

患者さんの負担を最小限に抑えるインプラント治療

歯を失った場合の治療法には、入れ歯やブリッジインプラントといった選択肢があります。なかでもインプラントは、天然歯に近い噛み心地で、周囲の歯に負担をかけにくいという特長があります。

一方で、インプラント治療は外科手術を含むため、「治療に時間がかかりそう」「身体への負担が心配」と感じる方もいらっしゃいます。当院では、そうした不安をできるだけ軽減し、安心して治療を受けていただけるよう、設備・技術・治療体制を整えています。

また、難症例に関してはインプラントの専門医が手術を行います。

塘田 健人

塘田 健人

経歴

東京医科歯科大学 歯学部卒業
埼玉医科大学 医学部 大学院 博士課程修了
埼玉医科大学病院 歯科口腔外科 助教
埼玉医科大学国際医療センター 頭頸部腫瘍科・耳鼻咽喉科 助教
埼玉医科大学国際医療センター 頭頸部腫瘍科 非常勤講師
東京医科歯科大学病院 インプラント科 非常勤講師

資格・所属学会・団体

  • 医学博士
  • 日本口腔外科学会認定・口腔外科認定医
  • 日本口腔インプラント学会
  • 日本救急医学会 ACLS修了

短時間で完了するインプラント治療があります

インプラント治療と聞くと、長時間の手術をイメージされる方もいらっしゃるかもしれません。

しかし、手術時間が長くなるほど患者さんの体への負担は大きくなります。当院では、そうした負担を抑えるため、低侵襲なインプラント治療を行っています。
当院のインプラント手術は、できるだけ短時間で行うことを重視しています。1〜3本程度のインプラント埋入であれば、手術時間はおよそ1時間です。

近隣のオフィスにお勤めの方であれば、お昼休みを利用して手術を受けていただくことも可能です。

気になる点がございましたら、お気軽にお問い合わせください。

治療の精度を高める精密機器

患者さんに安心して治療を受けていただくため、さまざまな精密機器を導入しています。
以下では、当院で使用している機器についてご紹介します。

CT

インプラント治療では、あごの骨に金属の土台を埋め込みます。あごの骨の中には神経や血管が通っているため、それらを傷つけないように治療を行うには、骨の内部を正確に把握することが欠かせません。

当院では、治療前に「CT」による精密検査を行っています。CTはレントゲンと同じくX線を用いた検査ですが、撮影方法が異なります。レントゲンが平面的な画像であるのに対し、CTではお口の周囲を360度回転させながら撮影するため、骨の形や神経・血管の位置を立体的に確認することができます。

コンピュータシミュレーション

CTで撮影したデータをシミュレーションソフト「coDiagnostiXに取り込み、インプラント手術の計画を立てています。
インプラントのサイズや位置、角度、深さを事前に確認し、神経や血管への影響に配慮したうえで治療を行うことで、患者さんにも安心して治療を受けていただけます。

サージカルガイド

サージカルガイドは、インプラント手術の際に使用するサポート装置です。シミュレーションソフトで作成したデータをもとに製作され、穴の開いたマウスピースのような形状をしています。手術時にお口に装着し、その穴に沿ってインプラントを埋入することで、計画した位置深さ角度での施術が可能になります。

この方法により、人為的なズレを最小限に抑え、精度の高いインプラント手術を行うことができます。また、当院ではすべてのインプラント治療でこのサージカルガイドを使用するので安心して治療を受けていただけます。

マイクロスコープ

マイクロスコープは、歯科治療専用の顕微鏡で、患部を十数倍に拡大して確認することができます。拡大された視野のもとで処置を行うことで、細部まで見極めながら、精度の高い治療が可能になります。

特徴!痛くない・怖くない「睡眠無痛治療」

インプラント治療では、外科手術が必要になります。
そのため、手術そのものに不安を感じる方や、もともと歯科治療が苦手という方も少なくありません。

こうした不安が強い状態では、治療が患者さんにさらなるストレスを与えてしまうことになりかねません。
当院では、睡眠無痛治療(静脈内鎮静法)をご用意しています。点滴で鎮静剤を投与し、患者さんがリラックスして眠っている間に手術を行う方法です。恐怖や緊張を感じにくく、手術中の記憶がほとんど残らない点も特長です。

実際にこの治療法を選ばれた患者さんからは、「気がついたら手術が終わっていた」といった声も多く聞かれます。
歯科恐怖症の方はもちろん、口に器具が入ることで吐き気を感じやすい嘔吐反射が強い方にもおすすめの方法です。

他院で「インプラントは無理」と言われた方へ

当院には、他の歯科医院でインプラント治療が難しいと判断された患者さんが多く来院されています。インプラントは、あごの骨に土台を埋め込み、その上に人工歯を装着する治療です。そのため、あごの骨の量が不足している場合、治療自体が困難とされることがあります。

当院では、こうしたケースに対して、あごの骨の量を増やす「骨造成」という治療法を行っています。この方法を用いることで、他院でインプラントを断られた方でも、解決策が見つかることがあります。諦めずに一度、当院にご相談ください。

骨造成にはいくつかの術式があり、患者さんの骨の状態に応じて適切な方法を選択します。詳しい内容については、カウンセリングの際にしっかりとご説明いたします。

サイナスリフト

当院では、上顎の奥歯にインプラントを埋め込む際に骨の厚さが足りない場合、「サイナスリフト」を行います。
副鼻腔である上顎洞の底部に骨を増やすことで、インプラントを安定した状態で埋め込むことができます。

サイナスリフトは静脈内鎮静を併用して大がかりに行われることもありますが、当院では症例に応じて局所麻酔下で痛みに配慮し、30〜45分程度の短時間で手術を行っています。

ソケットリフト

歯を抜いたあと、その部分の歯槽骨(歯を支える骨)に骨を増やしたい場合には、「ソケットリフト」という方法があります。通常、抜歯後は時間の経過とともに骨が徐々に減少し、インプラント治療が難しくなることがあります。

ソケットリフトでは、抜歯後にできた穴に骨補填材を入れ、骨の再生を促します。インプラントを埋入する部位に必要な骨の厚みや量を確保しやすくなり、治療の成功率もアップします。

特徴!

インプラントを長く安定させるための歯肉移植術

インプラント治療では、歯ぐきの厚みや量が不足していると、見た目が不自然になったり、清掃がしづらくなることで炎症を起こしやすくなる場合があります。

こうした問題を防ぐため、必要に応じて「歯肉移植術」を行っています。この手術では、患者さんご自身のお口の中から健康な歯ぐきを採取し、インプラントの周囲に移植します。

移植した歯ぐきによって、インプラントの周囲に十分な厚みと強さのある歯肉をつくることができます。見た目が自然になるだけでなく、細菌の侵入も防ぎやすくなり、インプラントを安定した状態で長く使っていただけます。

「ストローマン社製」のインプラントを使用

インプラントのメーカーは、国内外を含めると150~200社以上あると言われています。その中には、実績や長期データが十分にそろっていない製品も少なくありません。当院では、数あるメーカーの中から、世界的に症例実績が多く、歯科医師から高い評価を受けているストローマン」のインプラントのみを採用しています。

インプラントは、数年使えればよい治療ではありません。適切に行われた治療であれば、10年、20年、さらにその先まで機能し続けることが前提となります。だからこそ短期的なコストや流行ではなく、長期安定性と信頼性が証明されているメーカーにこだわっています。

ストローマン

ストローマン社は、世界的に高いシェアを持つインプラントメーカーです。日本人の骨格に配慮した比較的小径のインプラント体もそろっており、骨量が限られる症例にも対応しやすい特長があります。

スイス・ベルン大学の臨床研究では、ストローマン社のインプラントは手術成功率約97%残存率約98%と報告されています。長期的な臨床データに基づいた数値であり、安全性と耐久性の高さが裏付けられています。

仕上がりの差は、歯科技工士との連携で決まります

インプラント治療とは、あごの骨に埋め込んだ金属の土台の上に、人工の歯を装着する治療法です。この人工歯は「上部構造」と呼ばれ、専門家である歯科技工士が一つひとつ製作します。当院では、仕上がりの精度や長期的な安定性を重視し、多くの歯科医師から高い評価を受けている一流の歯科技工所に制作を依頼しています。

当院におけるインプラント治療のステップ

STEP①カウンセリング

まず、患者さんとのカウンセリングを行い、インプラント治療についてのご希望や疑問点を丁寧にお伺いします。インプラント治療に対する期待や不安について、どんな些細なことでもお気軽にご質問ください。

当院では、このカウンセリングを単なる事前説明ではなく、安心して治療に臨んでいただくための大切なステップと考えています。

STEP②検査と診断

CTレントゲンを用いて、患者さんのお口の状態を詳しく検査します。この精密検査により、インプラントが可能かどうかまたは手術前に骨造成が必要かなどを判断します。

インプラント治療が適さない場合は、他の治療法をご提案いたしますので、ご安心ください。

STEP③治療方法の説明

検査結果に基づき、インプラント治療が可能と判断された場合は、具体的な治療計画をお伝えいたします。この段階で、治療のメリットとデメリットをしっかりとご説明し、患者さんご自身が納得したうえで治療を進められるようお話しします。

疑問や不安がある場合は、お気軽にご質問ください。治療内容を十分に理解していただいたうえで、安心して判断していただくことを大切にしています。

STEP④虫歯や歯周病の治療

虫歯歯周病が見つかった場合は、まずそれらの治療を優先し、お口の状態を整えます。土台となる環境を整えてからインプラント治療を行うことで、治療後のトラブルを防ぎ成功率を高めることができます。

STEP⑤インプラント手術

インプラント体の埋入手術を行います。手術時間は症例によって異なりますが、1〜2本程度のインプラントであれば、おおよそ1時間前後で終了するケースがほとんどです。

STEP⑥治癒期間

手術後は、インプラントが骨としっかり結合するまで、一定の待機期間が必要になります。治癒までの期間は、通常2〜6ヶ月ほどです。

STEP⑦上部構造の作製

インプラントと骨がしっかり結合したことを確認したら、上部構造(人工歯)を取り付けます。装着の際には、患者さんのお口の状態に合わせて噛み合わせを細かく調整し、違和感のない状態に仕上げていきます。

STEP⑧定期的なメンテナンス

インプラントを長く安心して使っていただくためには、定期的なメンテナンスが欠かせません。インプラント自体は虫歯になりませんが、インプラント周囲炎と呼ばれるトラブルが起こることがあります。

インプラント周囲炎が進行すると、支えている骨が失われ、最終的にインプラントが抜けてしまうリスクも高まります。そのため治療後も定期的なメンテナンスを必ず受けていただくようお願いしています。

担当医が考える、インプラント治療の価値

歯を失った際の治療法として、インプラントは多くの方に知られるようになりました。ただ、その本当のメリットまで理解されている方は、まだ多くないかもしれません。

インプラントの最大の特徴は、他の健康な歯に負担をかけないことです。部分入れ歯やブリッジのように、隣の歯を支えにする必要がありません。そのため、噛む力が他の歯に集中することによる、将来的なトラブルや抜歯のリスクを抑えることができます。

インプラントは保険適用外で費用がかかること、外科的な処置が必要になることなど、注意すべき点もあります。それでも、残っている歯をできるだけ守るという視点で考えると、十分に検討する価値のある治療法です。

治療法選びに迷われた際は、一人で悩まずにご相談ください。お口の状態を丁寧に確認したうえで、納得して選んでいただけるよう、しっかりとご説明いたします。

初診「個別」相談へのご案内

当院では、患者さんが抱えていらっしゃるお口のお悩みや疑問・不安などにお応えする機会を設けております。どんなことでも構いませんので、私たちにお話ししていただけたらと思います。
ご興味がある方は下記からお問い合わせください。

ご予約・お問い合わせ03-5927-8250

24時間初診専用
WEB予約

〒170-0005
東京都豊島区南大塚3-44-14
シティハウス南大塚レジデンス 1階

大塚駅から3分
新大塚駅から5分

PAGE TOP