根管治療

03-5927-8250

24時間WEB予約

キービジュアル
3人の根管治療の「専門家」が在籍

日本歯内療法学会専門医
———————————
世界に誇る「接着修復治療」で
再発率0%を目指す

  • 短期集中治療
  • セカンドオピニオン対応
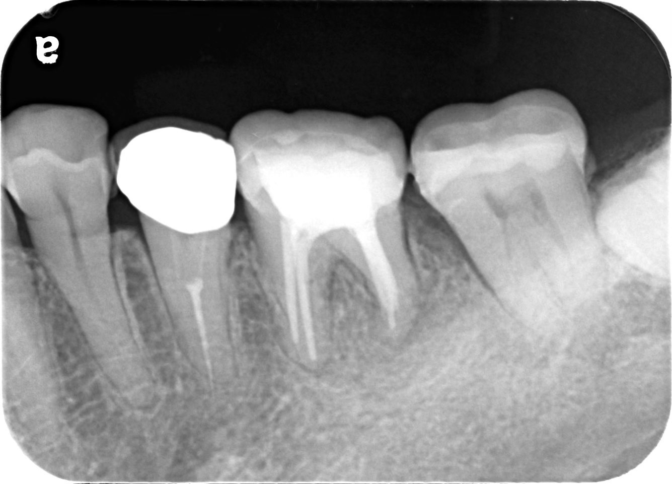
  • 治療前
  • 治療後
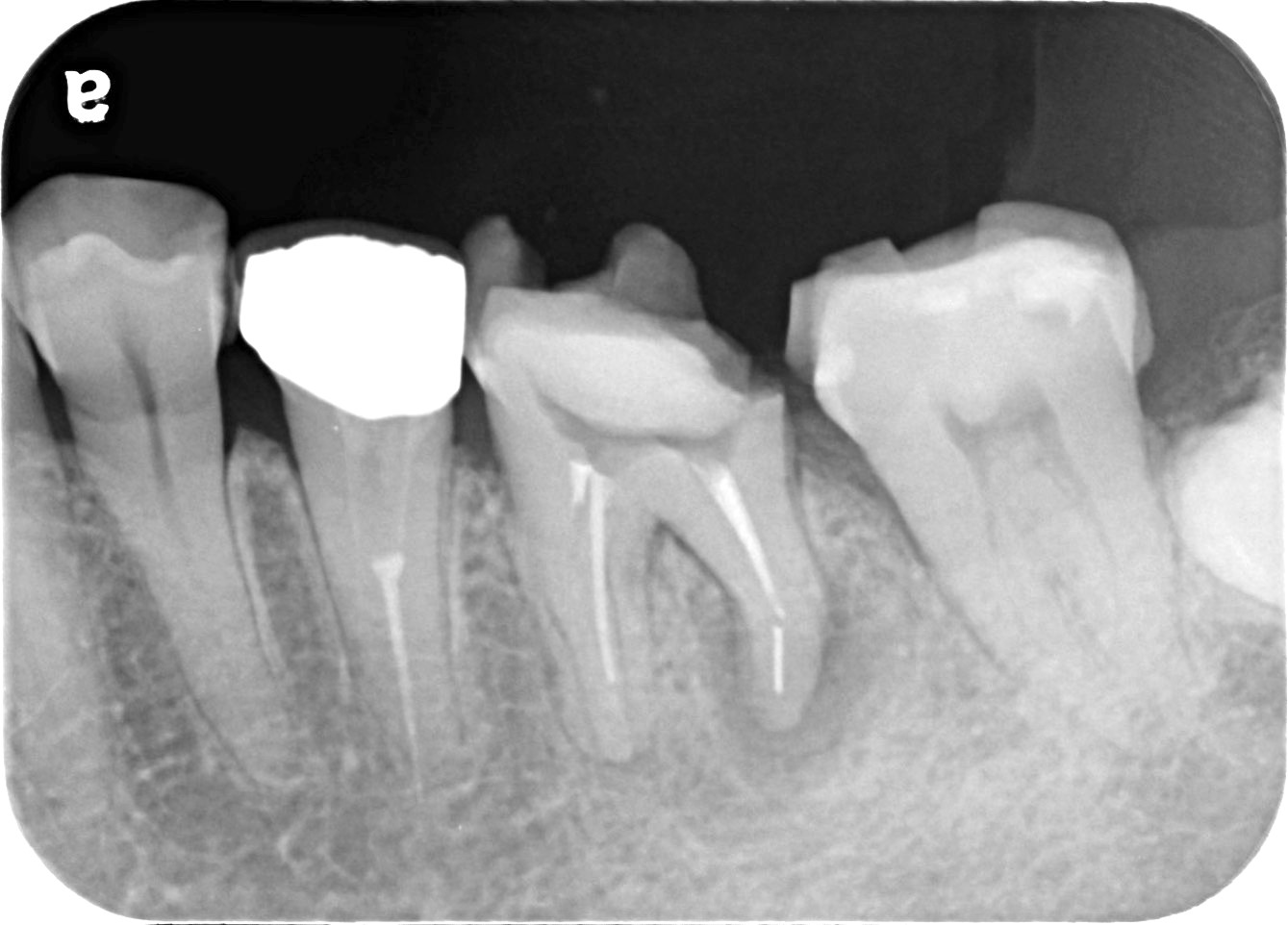
  • 治療前
  • 治療後

日本で行われている根管治療、再発率の高さをご存じですか?

虫歯が進行し、歯の内部にある神経まで達すると、強い痛みが生じます。その際に行われるのが根管治療です。
神経を取り除くことで痛みは一時的に治まりますが、一度治療した歯がまた痛くなることはないでしょうか?

2011年に東京科学大学(旧 東京医科歯科大学)が行った調査では、根管治療を受けた歯の約50〜70%に、再び膿が溜まっていることが確認されました。
つまり、日本で行われている根管治療の多くが、長期的には再発を起こしているという結果です。

この再発の主な原因は、治療時に唾液や細菌が患部に侵入して再び菌が繁殖し、時間をかけて炎症を引き起こしてしまうからです。

根管治療ははじめが肝心!

虫歯の痛みを抑えるために神経を取ることはできますが、むやみに行うべき治療ではありません。神経を失うことで、歯の寿命が短くなる可能性があります。

歯の神経には、歯に栄養を届けるという重要な役割があります。神経を取るとその供給が断たれ、歯は次第にもろくなっていきます。その結果、炎症を繰り返したり、さらに歯を削る必要が生じたりすることがあります。こうした負担が重なることで、最終的に歯が割れてしまうケースも少なくありません。

根管治療は何度もやり直せる治療ではありません。だからこそ、最初の治療でできる限り精度の高い処置を行うことが重要だと考えています。当院では、再発を防ぐことを前提に、根管治療に取り組んでいます。

当院の根管治療の「考え方」

当院が掲げる根管治療は、必要最小限の歯を削り、歯の中の細菌を最小限にすることで抜歯を回避することです。
そのためには、単に根管内の菌を除去すれば良いというわけではありません。
成功率を高めるために、当院では次の4つのポイントを押さえて治療を行っています。

ポイント1根管治療の「専門家」が複数在籍

最善の結果を出すために必要なのは、機械ではなく診断力手技です。
当院には、東京科学大学(旧 東京医科歯科大学)で学んだ根管治療を専門とする3名のドクターが在籍し、大学病院レベルの治療を提供しています。

ポイント2患者さんの負担を最小限に抑える

根管治療は長期間の通院が必要と思われている患者さんも多いと思います。
当院では、ほとんどの場合1~2回の通院で治療が完結します。
通院そのものの負担を軽減することはもちろんですが、治療の度に塞いだ仮の蓋を開け閉めする必要がないため、感染リスクも軽減できるというメリットがあります。

また、痛みや歯科恐怖症の方へ向けて完全無痛麻酔も行っています。
眠っている間に治療が終わった、と感じていただけるような治療も可能ですので、痛みが心配な方や不安感が強い方もお任せください。

ポイント3設備・機材・材料にこだわる

治療精度を向上させるためには診断力が重要です。当院では、高解像度CTハイエンドマイクロスコープを完備し、患部の可視化を徹底し、小さな病巣の見逃しを防いでいます。

また、ラバーダム防湿と呼ばれるゴムのシートを使用し、無菌状態で治療を行います。
根管を塞ぐ充填剤は身体に優しい材料のみを使用し、歯の中から自然な治癒を促します。

ポイント4再感染リスクをゼロに近づける接着修復治療

機材や材料にこだわって治療を行っても、根管治療後に被せ物をピッタリと装着できなければ隙間から細菌が侵入し、再感染のリスクが高まります。
当院では根管治療はだけではなく接着修復治療の精度も向上させることで、長期安定した治療を提供しています。

成功率で選ばれる、当院の根管治療

日本における根管治療の成功率は、およそ50%程度とされています。一方、スウェーデンの報告では成功率が約91%と、大きな差があることが分かります(情報提供元:厚生労働省「e-ヘルスネット『歯の神経の治療(根管治療)』」)。

この差は、治療に使用する器具や環境、治療精度の違いによる影響が大きいと考えられています。

当院では、欧米で使用されている最新の器具や治療法を積極的に導入し、成功率の向上に努めています。
その結果、国際水準にも引けを取らない成果を上げています。

ここでは前述した当院の根管治療の考え方に基づき、導入している機材や材料について具体的にご紹介します。

マイクロスコープ」と「高倍率ルーペ」を使った精密治療

下の画像をご覧ください。黒く見えている部分が、歯の内部にある根管です。
根管はまっすぐではなく、枝分かれや湾曲をしていることが多く、直径が1mmに満たない細い部分もあります。このような構造の中から感染した組織を取り除くには、高い精度が求められます。

しかし現在でも、多くの歯科医院では、この処置を肉眼で行っているのが実情です。
当院では、根管内を正確に把握するため、歯科用のマイクロスコープ高倍率ルーペを使用して治療を行っています。
視野を拡大しながら処置を行うことで、感染源の取り残しを防ぎ、治療精度の向上につなげています。
右の画像では、マイクロスコープを通して見た根管内部の様子です。
肉眼では把握できない細部まで確認しながら治療を行っていることがわかります。

立体的な診断を可能にする「CT」

根管は歯の内部にあるため、肉眼で直接確認することはできません。
形状や病変の広がりを把握するには、X線による画像診断が必要になります。
一般的にはレントゲン撮影が行われますが、当院では「CT」を使用しています。

レントゲン撮影は平面的な画像ですが、CTではお口の周囲を回転させながら撮影するため、歯や根管の状態を立体的に捉えられるのがポイントです。根管の形状や病変の位置を、より正確に把握できます。

こちらは、同じ部位をCTとレントゲンで撮影したものを比較した画像です。
  • 比較
  • 比較
左側はCT画像、右側はレントゲン画像です。赤丸で示した部分に黒い影が確認できますが、これが炎症の起きている部位です。
CTでは確認できますが、レントゲンでは写らず、見落とされることがあります。

レントゲンのみで診断した場合、この炎症に気付かないまま進行し、結果として抜歯に至るケースもあります。
当院ではそのリスクを避けるため、CTによる診断を徹底しています。

再感染を防ぐ「ラバーダム」

根管の炎症は、虫歯菌による感染が原因です。根管治療では、根管内をできる限り無菌に近い状態で処置できるかどうかが重要になります。特に注意が必要なのが唾液の混入です。唾液には多くの細菌が含まれており、わずかな混入でも再感染につながることがあります。
当院では、こうしたリスクを避けるために、ラバーダムを使用しています。
ラバーダムはゴム製のシートで、治療中に唾液が入り込むのを防ぎます。
治療する歯以外を覆うことで、無菌状態を保ったまま安全に治療を進めることができます。

ラバーダムの使用は、根管治療の成功率に大きく関わります。
米国では、根管治療においてラバーダムの使用が標準とされていますが、日本ではまだ十分に普及しているとは言えません。

当院では、再発を防ぐための基本的な手順として、すべての根管治療でラバーダムを使用しています。

複雑な根管にも対応できる「ニッケルチタンファイル」

根管内に残った感染組織を除去するためには、「ファイル」と呼ばれるヤスリ状の器具を使用します。
日本では、現在でもステンレス製のファイルが用いられていることが多いのが実情です。

しかし、ステンレスファイルは硬さがあるため、複雑な形状を持つ根管にはうまく入り込めず、感染組織を取り残してしまうこともあります。

当院では、根管の形状に対応しやすいニッケルチタンファイルを使用しています。
柔軟性のある素材のため、複雑に曲がった根管内にもぴったりフィットし、感染部位をしっかりと取り除くことができます。

「EDTA」と「次亜塩素酸ナトリウム」による根管洗浄と殺菌

感染した部分を取り除いたあとでも、根管の中には細かな削りカスが残ることがあります。
こうした削りカスには細菌が付着していることがあり、放置すると再発の原因になります。

しかし、根管は非常に細く複雑な形をしているため、削りカスを完全に取り除くのは簡単ではありません。
一部の歯科医院では、洗浄や殺菌が十分でないまま治療を終えてしまうことがあり、それが根管治療の再発につながるケースもあります。

当院では、「EDTA」「次亜塩素酸ナトリウム」といった高い殺菌力を持つ薬剤で、根管内を徹底的に洗浄しています。削りカスを薬剤で溶かし流すことで無菌状態をつくり、根管治療の成功率を高めています。

充てん剤には殺菌力の高い「MTAセメント」を採用

神経を取り除き、根管内を殺菌・洗浄したあとは、空洞になった部分に充填剤を詰める工程に入ります。
一般的には、ガッタパーチャと呼ばれるゴム製の充填剤が使われますが、この方法では歯と充填剤の間にすき間が生じやすく、そこから細菌が侵入して再発につながることがあります。

当院では、より精度の高い根管治療を行うために、MTAセメントを使用しています。MTAセメントには、次のような特長があります。
  • ・固まる際にわずかにふくらみ、歯との間にすき間ができにくい
  • ・強いアルカリ性による殺菌作用があり、虫歯菌の再繁殖を防ぐ
  • ・硬く固まることで、神経を失った歯を内側から支える
  • ・歯質を強化する働きがある
これにより、当院の根管治療は日本でトップレベルの成功率を維持しています。

根管を確実に塞ぐバイオセラミック治療

当院の根管治療では、バイオセラミックと呼ばれる専用セメントを使用しています。
バイオセラミックには殺菌作用があり、根管内を清潔な状態に保つことで、治療後の経過を安定させます。

また、バイオセラミックは組織の再生を促す性質を持っています。
そのため、歯根の先端に穴が開いているようなケースでも、抜歯を回避できる可能性があります。

他院で抜歯と診断された方も、あきらめずに一度ご相談ください。
専門的な知識と経験をもとに、歯を残すための治療法を検討します。

歯を守るための治療法

歯の根に炎症が生じると、一般的な根管治療では対応が難しい場合があります。
また、神経を失った歯は脆くなり、歯茎の中で折れてしまうこともあります。
その結果、多くの歯科医院では抜歯が選択されるケースが少なくありません。

しかし当院では、特定の治療法や術式を用いることで、抜歯を回避できる場合があります。
患者さん一人ひとりの状態を正確に診断したうえで、歯を残すために最適と考えられる治療を選択しています。

根の先に残った炎症に対応する「歯根端切除術」

歯の根の先端に炎症が起こり、膿が溜まっている場合、通常の根管治療では対応できないことがあります。その結果、抜歯を勧められるケースもあります。

当院では、こうした状態に対して歯根端切除術を行うことで、抜歯せずに治療できる可能性があります。

歯根端切除術は、歯茎を外科的に開き、歯の根の先端と膿の袋を直接取り除く治療法です。
処置後にできた空間は血液で満たされ、その後、時間の経過とともに骨が再生して埋まっていきます。

炎症の原因を根の先端から直接取り除くことで、患者さんの歯をできるだけ長く保存することを目指します。

根管治療のセカンドオピニオンをお考えの方へ

根管治療は、最初の治療が極めて重要です。初回に精度の低い治療を受けてしまうと、その後に再治療を重ねることになり、結果として歯を失うリスクが高まります。
神経を取ると判断された場合は、その治療がどの程度の成功率を見込めるものなのかを確認することが大切です。

当院では、セカンドオピニオンも積極的に受け付けています。
ご相談の際には、マイクロスコープで歯の内部を撮影し、その画像を実際にご覧いただきながら、現在の状態と治療の選択肢についてご説明します。

治療に対して不安や迷いがある方は、どうぞ遠慮なくご相談ください。

初診「個別」相談へのご案内

当院では、患者さんが抱えていらっしゃるお口のお悩みや疑問・不安などにお応えする機会を設けております。どんなことでも構いませんので、私たちにお話ししていただけたらと思います。
ご興味がある方は下記からお問い合わせください。

ご予約・お問い合わせ03-5927-8250

24時間初診専用
WEB予約

〒170-0005
東京都豊島区南大塚3-44-14
シティハウス南大塚レジデンス 1階

大塚駅から3分
新大塚駅から5分

PAGE TOP