親知らずの抜歯

03-5927-8250

24時間WEB予約

キービジュアル

口腔外科の「専門家」が在籍

高い安全性
完全無痛
親知らず治療

  • 「CT」を活用した精密治療
  • 「伝達麻酔」で痛みを感じさせない
  • 「骨を削らない」技術で腫れを軽減
難症例にも対応できる、
経験豊富な医師充実した設備がそろっています。

安心・安全・短時間を追求した親知らずの抜歯

「親知らずが痛くてつらいけれど、抜歯が怖い」「埋まっていると言われて不安」といった声を多くいただきます。親知らずの抜歯は、歯の生え方や状態によって、難易度が大きく異なります。

特に歯ぐきの中に埋まっている埋伏歯(まいふくし)は、通常の抜歯よりも高度な技術と時間を要します。当院では、経験豊富な歯科医師が対応し、痛みを最小限に抑えながら、短時間で安全に処置を行うことを心がけています。

親知らずでお困りの方は、どうぞ安心してご相談ください。症例によっては、大学病院や口腔外科をご紹介する場合もあります。

親知らずの抜歯が必要な場合と不要な場合

親知らずを抜歯するかどうかは、その生え方をもとに判断します
一般的に、まっすぐに生えていない親知らずは、抜歯をおすすめしています。これは、隣の歯に悪影響を及ぼしたり、磨き残しが生じやすく、虫歯や歯周病の原因になりやすいためです。

一方で、まっすぐに生えており、噛み合わせも正常な場合や、完全に埋まっていて問題を起こしていない場合には、必ずしも抜く必要はありません。

また、将来的に他の歯を失った際には、親知らずを移植できる可能性も考慮します。親知らずの治療には一定のリスクを伴うため、当院では無理に抜歯をすすめることはいたしません

「親知らずを抜きたくない」「残すべきか迷っている」といったお悩みをお持ちの方は、ぜひ一度ご相談ください。当院ではセカンドオピニオンにも対応しています。患者さんの意思を尊重しながら、専門的な立場から適切なアドバイスとサポートを行います。

親知らずの抜歯を選ぶメリットとデメリット

メリット

  • ・虫歯や歯周病のリスクが減ります
  • ・口臭を抑えることができます

デメリット

  • ・術後に痛みや腫れが生じる可能性があります
  • ・非常にまれですが、舌や唇の麻痺のリスクがあります
親知らずの抜歯に伴うデメリットは、通常、術後1週間程度で落ち着くことが多いです。
一方で、親知らずを抜かずに放置した場合のリスクが上回るケースも多くあります。ただし、状態によっては抜歯を避けられることもありますので、まずは当院の歯科医師としっかり話し合い、慎重にご判断いただくことをおすすめします。

当院の親知らず治療が選ばれる理由

親知らずの治療は、歯の生え方や位置、神経との距離などによって対応が大きく変わります。だからこそ、歯科医師の経験や技術力に加え、患者さんの負担や術後のリスクを抑えるための設備が重要になります。
当院では、これらを踏まえたうえで、安心して治療を受けていただける体制を整えています。

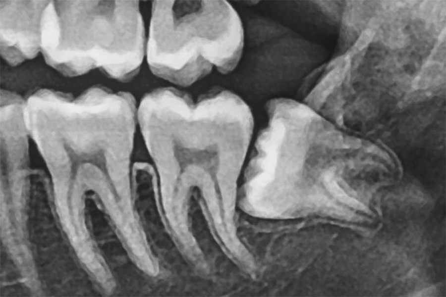
水平埋伏歯(横向きに生えた親知らず)

水平埋伏歯とは、横向きに生えている歯のことです。
この状態では、隣の歯を押してしまい、痛みや歯並びの乱れを引き起こすことがあります。また、汚れがたまりやすく、虫歯や歯周病の原因になるケースも少なくありません。骨や神経に近い位置にあることが多く、抜歯には高い技術が求められます。

当院では、精密な診断と高度な技術をもとに、こうした難しい抜歯にも対応しています。他院で抜歯が難しいと言われた場合でも、お気軽にご相談ください。

伝達麻酔

麻酔には、「浸潤(しんじゅん)麻酔」と「伝達麻酔」の2種類があります。
浸潤麻酔は、歯ぐきの一部に麻酔を効かせる方法で、一般的な虫歯治療で多く用いられます。しかし、神経が密集している下あごの親知らずでは、効果がほとんどありません。

そのため当院では、伝達麻酔を使用しています。これは、痛みを伝える神経そのものをブロックする麻酔方法で、長時間にわたって安定した麻酔効果が得られます。その結果、治療中に強い痛みを感じることはほとんどありません。

CT

CTは、あごの構造や神経の位置、病巣部位などを立体的に映し出すことができるレントゲン装置です。CTで撮影したデータを活用することで、より安全性が高まり、神経麻痺などのリスクを回避することができます。

親知らずに限らず、インプラントや根管治療など、幅広い治療に利用されています。

パノラマレントゲン

パノラマレントゲンは、お口全体を1枚の画像で撮影できる広範囲のレントゲン写真です。親知らずの位置や向き、周囲の歯との関係を一目で確認できます。

特に下あごの親知らずは、下歯槽神経という重要な神経の近くにあることが多いです。抜歯にあたっては、神経との距離や重なり具合を事前に把握し、神経損傷のリスクを回避することが重要です。

抜歯後の回復を助けるテルプラグ

テルプラグは、コラーゲンを主成分とするスポンジ状の素材で、抜歯後の傷口を保護し、回復を助けるために使用します。

傷口にテルプラグを使用することで、血液がとどまりやすくなり、傷が治りやすくなります。抜歯後の痛みや出血を抑える効果もあり、治療後の負担を軽減できます。

コラム妊娠前に親知らずの治療を

妊娠中は、虫歯歯周病になりやすいことをご存知でしょうか?
これは、ホルモンバランスの変化によってお口の環境が乱れやすくなるためです。その影響で、親知らず周辺の歯ぐきが腫れたり、痛みが出たりするケースも少なくありません。

一方で、妊娠中に親知らずを抜歯することは簡単ではありません。お腹の赤ちゃんへの影響を考慮し、レントゲン撮影や麻酔、内服薬の使用に制限がかかる場合があるためです。こうした状況を避けるためにも、妊娠を考えている方には、妊娠前に親知らずの治療を行っておくことをおすすめします。

親知らずQ&A

親知らずの治療については、多くの患者さんがさまざまな疑問をお持ちです。ここでは、よくある質問とその回答をまとめました。
親知らずは必ず抜かなければならないの?
親知らずは、必ずしも抜かなければならないわけではありません。健康な状態で、正しい方向に生えている場合は、特に問題なく過ごせるケースもあります。

一方で、他の歯に悪影響を及ぼしたり、噛み合わせが乱れたりする場合には、抜歯を検討することがあります。当院では、患者さん一人ひとりのお口の状態を確認したうえで、最適な判断を行っています。
親知らずの抜歯後、腫れや痛みはどのくらい続きますか?
抜歯後の腫れや痛みには個人差がありますが、通常は2〜3日程度がピークとなり、その後は徐々に落ち着いていきます。必要に応じて鎮痛薬を処方し、痛みを和らげる対応を行っています。
抜歯の際、麻酔はどのように行いますか?
当院では、局所麻酔を使用し、痛みを最小限に抑えたうえで抜歯を行います。麻酔が十分に効いていることを確認してから施術を開始しますので、安心して治療を受けていただけます。
抜歯後に気を付けることはありますか?
抜歯後は、出血を防ぐために激しい運動や飲酒を控えることが大切です。また、腫れを抑える目的で患部を冷やすのも有効です。うがいは強く行わず、抜歯した部分を刺激しないように注意してください。
どのくらいで普通の食事ができるようになりますか?
抜歯後しばらくは、硬いものや刺激の強いものは避け、軟らかい食事から始めてください。痛みや腫れが落ち着いてきた頃には、徐々に普通の食事ができるようになります。
片方の親知らずを抜いた場合、もう片方も抜くべきですか?
状況によりますが、片方の親知らずに痛みやトラブルがある場合、反対側の親知らずも悪化していることがあります。両方の抜歯が必要かどうかは、歯科医師と相談して決めることが大切です。
親知らずが原因で歯並びが悪くなることはありますか?
親知らずが横向きや斜めに生えている場合、手前の歯を押してしまい、歯並びに影響を及ぼす可能性があります
不安や疑問がございましたら、いつでも当院にご相談ください。親知らずの治療について、患者さんにとって最適な選択をご提案いたします。

親知らずの抜歯は、慎重な判断が大切です

当院では、親知らずの抜歯について、多くの症例に対応してきた経験があります。親知らずの抜歯は、歯の生え方や神経との位置関係によって難易度が大きく異なるため、症例ごとに適切な判断と対応が求められます。

ただし、全身的な持病がある場合や、血管・神経への影響が大きいと判断されるケースでは、より高度な医療体制が必要になることもあります。その際は、大学病院や専門医療機関をご紹介することがあります。
患者さんの健康と安全を最優先に考え、最善の選択をいたします。

初診「個別」相談へのご案内

当院では、患者さんが抱えていらっしゃるお口のお悩みや疑問・不安などにお応えする機会を設けております。どんなことでも構いませんので、私たちにお話ししていただけたらと思います。
ご興味がある方は下記からお問い合わせください。

ご予約・お問い合わせ03-5927-8250

24時間初診専用
WEB予約

〒170-0005
東京都豊島区南大塚3-44-14
シティハウス南大塚レジデンス 1階

大塚駅から3分
新大塚駅から5分

PAGE TOP