審美セラミック治療

03-5927-8250

24時間WEB予約

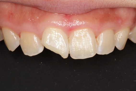
キービジュアル
日本歯科保存学会「認定医」が在籍

美しさは当然
下記も実現する
セラミック治療
✅最短1日
✅再発率0%を目指す
✅削る量を最小限に

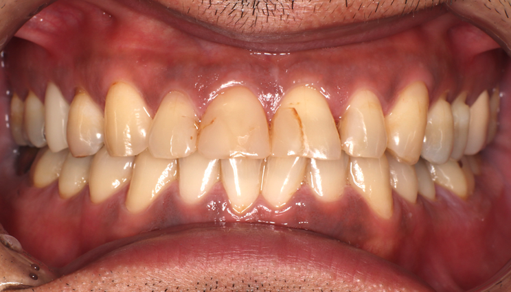
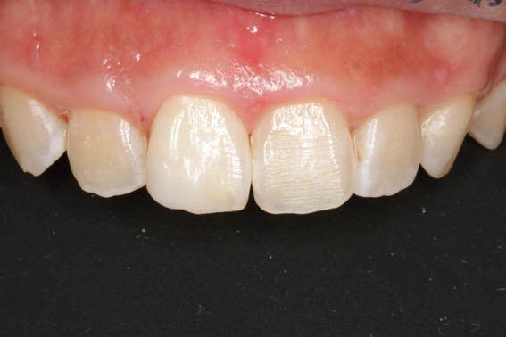
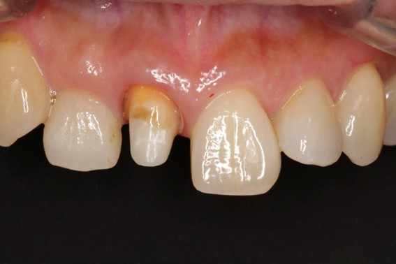
  • 治療前
  • 治療後
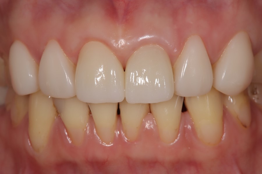
ダイレクトセラミックとセラミッククラウンにて治療したケース。
  • 治療前
  • 治療後
ダイレクトセラミックとセラミッククラウンにて治療したケース。
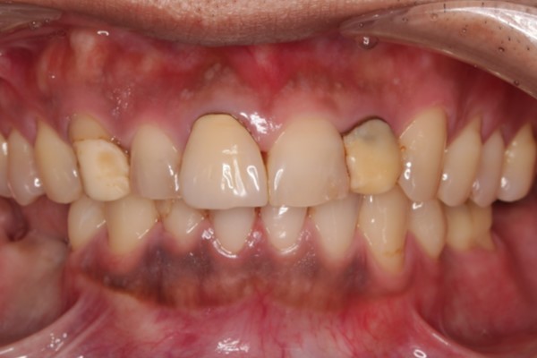
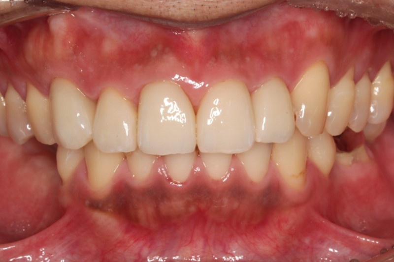
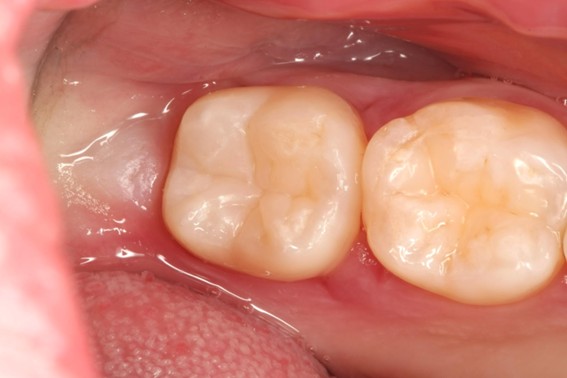
  • 治療前
  • 治療後
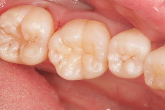
ダイレクトセラミックで治療したケース。
  • 治療前
  • 治療後
ダイレクトセラミックで治療したケース。
  • 治療前
  • 治療後
ダイレクトセラミックで治療したケース。
  • 治療前
  • 治療後
ダイレクトセラミックで治療したケース。
  • 治療前
  • 治療後
ダイレクトセラミックで治療したケース。

美しさ×機能性×長期安定。それが当院の審美治療

ただ白い詰め物や被せ物を装着して、キレイな口元にする治療は行っておりません。

歯をキレイにして口元を美しくし、おもいっきり笑えるようになる。とても素晴らしいことです。しかし、当院ではそれだけで満足はしません。正直なお話、歯をキレイにするだけであれば、どの歯科医院でも対応できます

しかし、その美しさを長期的に安定させ、かつ、歯の本来の役割である「噛む」という機能性を維持もしくは向上させることはどの医院でもできることではありません
これを達成させるためには「接着修復技術」が重要になります。審美治療は審美的な素材を「歯に接着させる」治療です。つまり、しっかり接着できなければ外れてしまったり、接着物と歯との間に「隙間」ができ、そこから虫歯菌が入り込み、内部で虫歯が進行し再治療ということにもなりかねません。

当院の院長Dr.大林は、東京科学大学(旧東京医科歯科大学)名誉教授の田上純次から接着修復治療を学びました。接着修復治療を活用した治療は日本が最高峰とされ、Dr.田上はその第一人者とも呼べる存在です。世界中の歯科医師がDr.田上の下に集まり、その知識と技術力は世界の田上と呼ばれるほどです。

当院では最高峰の接着技術を学んだ「接着修復治療の専門チーム」が存在し、全員がDr.田上の教えをベースに日々診療を行っています。

東京科学大学(旧東京医科歯科大学)名誉教授 田上純次先生から推薦

再治療を限りなく0%にする「セラミックス治療」

こんな話を聴いたことはありますか?
セラミック治療後、セラミックの内部が虫歯に侵され、再治療を余儀なくされた。

実は、これはよくある話です。
またある研究では、治療後5年前後再治療の必要性が出てくる、というものもあります。それを表しているのが次の症例です。詰め物を外してみると、内部が虫歯に侵されていることがわかると思います。
これは、詰め物と歯の「接着が不十分」で、ミクロン単位の隙間から虫歯菌が入り込み、内部で虫歯が広がることで起きるものです。つまり、しっかりした接着技術で隙間を生じさせないことで、再治療を防ぐことができるのです。
この数字は、当院で接着修復治療によるセラミック治療を実施後、3年経過後に再治療になった件数と確率です。
再発率0%は達成できませんでしたが、99%以上の成功率を達成しています。これを可能にしている環境や取り組みをご紹介します。

世界的論文で効果が実証された「接着材/接着処理」

歯科用接着剤は多く存在しますが、当院で利用している接着剤は多くの論文でその接着力が立証されたものを利用しています。しかし、いくら接着剤が優秀だとしても、接着に至るまでのその他の環境や処理方法が悪ければ、再発の温床になる「隙間」が生じます。

具体的には次の取り組みを行います。

✅ラバーダムの利用
唾液混入による接着力の低下を防ぐ役割。

✅歯が長持ちする削り方の工夫
削り方ひとつで歯がが持ちするか否かが大きく変わります。

✅科学的に実証されている接着技法/材料
科学的に実証されている接着技法・材料のみを使用。

その他にも多くの取り組みがありますが、これらを行うことで、大人10人がぶら下がっても取れない接着力を出すことが可能になります。

接着材料の「ワインセラーによる温度湿度」管理

歯科材料は温度や湿度によりその効用は変化します。そのため当院では温度湿度を医院全体として管理するため、天井埋め込み型のカセット式ダイキン空調を全室に導入しています。また、より厳密な温度湿度調整をするため、「ワインセラー」にて接着材料の保管をしています。ここまでこだわった材料管理をしている医院は全国的にごく一部のクリニックに限られます

「治療範囲」によって治療法を選択します

当院では最高峰の接着修復技術を活用し「美しさ×機能性×長期安定」をテーマに審美治療を行いますが、治療範囲に応じて2つの治療法があります。
■セラミックインレー/セラミッククラウン
これはセラミックの詰め物、被せ物を利用する治療法です。歯型をとり、技工士が詰め物・被せ物を製作しお口にセットする皆さんがイメージしてる治療法です。治療範囲が中程度~大きい場合はこの方法を選択します。

セラミックインレー/セラミッククラウンの症例

  • 治療前
  • 治療後
  • 治療前
  • 治療後
  • 治療前
  • 治療後
■ダイレクトセラミック治療
これは当院が自信をもって提供している治療法で、治療範囲が小さい~中程度に適応されます。お口の中で直接作り上げる方法です。1日で完了する方法で、歯を削る量も最小限に抑えられる患者さんにとてもやさしい治療法です。イメージがつきにくいと思いますので、以下に治療手順を掲載します。

1日で完了!ダイレクトセラミックス治療の流れ

  • 唾液や湿気が入らないようにラバーダム防湿と呼ばれるゴム製のシートを装着。
  • 中に虫歯の感染を確認。削らずに虫歯を除去。
  • 穴の外側も接着しやすくするために特殊な薬液で処理を行う。
  • 接着剤を浸透させる。
  • 光を当てながら、薄く詰めては固める工程を繰り返し、歯の形を作っていく。
  • 生まれ持った歯の形を再現。
  • 噛み合わせの調整を行う。磨き上げて自分の歯と詰め物境界を失くす。
  • 治療前
  • 治療後
  • 治療前
  • 治療後
  • 治療前
  • 治療後

精密治療を実現するマイクロスコープと高倍率ルーペ

接着技術で隙間を生じさせないことの大切さをお伝えしましたが、肉眼の何十倍も視野を拡大できるマイクロスコープ高倍率ルーペを用いることで、より隙間を生じさせない取り組みを行っています。またこれらを活用することで、歯を削る量を最小限に抑えることができます。

理想の美しさを実現するために

治療を進めていくうえで大切なのは、患者さんが思い描く「こうなりたい」というイメージを、私たちと丁寧に共有していくことです。

どの段階でもしっかりと気持ちをすり合わせることで、仕上がりの満足度が大きく変わってきます。

カウンセリングの徹底

治療を始める前には、まず患者さんが「どんな歯になりたいか」という思いを丁寧に伺うところからスタートします。
そのイメージをできるだけ具体的に共有できるよう、歯の色見本や模型を一緒に確認しながらお話を進めていきます。

模型で治療のイメージを共有

まず患者さんのお口に合わせて歯形を取り、その情報をもとに模型を作ります。
模型を見ながら歯の形や並びを確認できるため、完成のイメージを共有しやすくなります。

この段階で仮歯も作製し、実際にお口に入れて調整を行います。事前に仕上がりを確認できることで、治療の方向性を一緒に確かめながら、安心して治療を進めていただけます。

専門家が客観的な「美」も追求

当院では、患者さんの理想とする美しさを大切にしています。そのうえで、患者さんご自身が感じる「美しさ」を尊重しながら、専門的な視点から見た「客観的な美しさ」も踏まえたセラミック治療を行っています。以下の4つのポイントをもとに、口元全体のバランスを考えています。

Point① 笑ったときの美しさ

笑ったときに、下唇と歯並びのアーチが自然に沿うと、口元の印象はより整って見えます。この関係は「唇と歯の関係」と呼ばれ、笑顔の見え方に大きく影響します。

Point② ゴールデンプロポーション

前歯の見え方には、見た目のバランスが美しく感じられる黄金比があります。一般的には、中切歯を1.618とした場合、側切歯は1、犬歯は0.618といった比率が目安とされています。こうしたバランスを意識することで、美しく調和のとれた笑顔に見えやすくなります。

Point③ 正中線と歯並びのバランス

正中線とは、顔の中心を通るラインのことです。上の前歯の中心をこのラインに合わせると、全体のバランスが整った印象になります。

Point④ 歯茎とのなじみ方

口元の美しさには、歯茎の見え方も関係します。当院では、被せ物を製作する際に生物学的幅径(Biological width diameter)を考慮し、歯茎との位置関係を踏まえて設計しています。歯茎との境目がなじみやすく、見た目にも美しく仕上がります。

初診「個別」相談へのご案内

当院では、患者さんが抱えていらっしゃるお口のお悩みや疑問・不安などにお応えする機会を設けております。どんなことでも構いませんので、私たちにお話ししていただけたらと思います。
ご興味がある方は下記からお問い合わせください。

ご予約・お問い合わせ03-5927-8250

24時間初診専用
WEB予約

〒170-0005
東京都豊島区南大塚3-44-14
シティハウス南大塚レジデンス 1階

大塚駅から3分
新大塚駅から5分

PAGE TOP