ダイレクトセラミックス症例3

03-5927-8250

24時間WEB予約

キービジュアル

ダイレクトセラミックス症例3

2026年2月19日

50代女性

悪いところがあったら治療したい、とのことで来院されました。
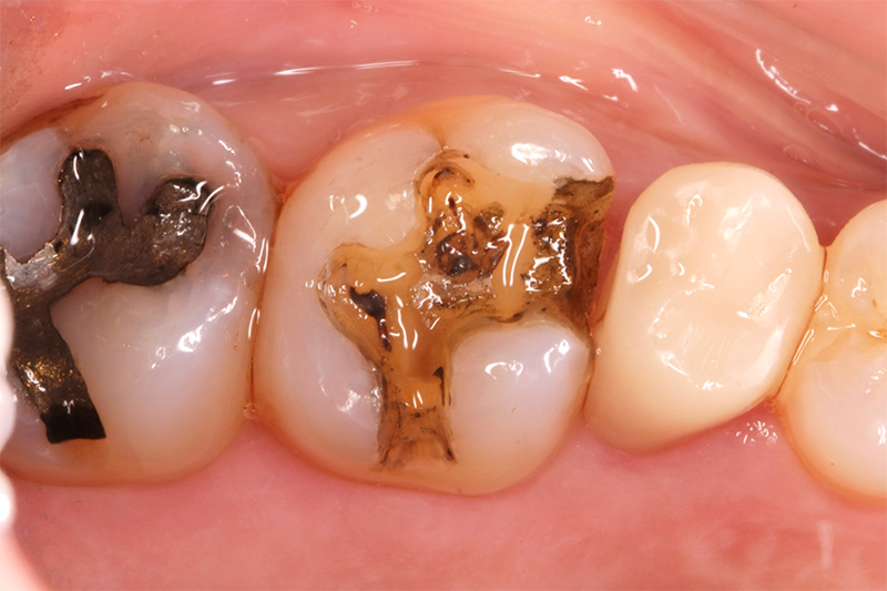
レントゲン撮影で、ゴールドインレー(金歯)の”不適合”(詰めものと歯の間の段差・隙間・隙間の着色など)を認め、治療することになりました。痛みなどの症状はありませんでした。

  • 治療前
  • 治療後

治療内容・期間・費用について

治療内容 ダイレクトセラミックス(ダイレクトボンディング)
治療日数・期間 1日【 約1時間で1本完成 】
治療費用 88,000円(税込)/1本

メリット/デメリット・リスク

メリット
  • その場で、口の中で直接 歯を作り上げる治療。通常の詰めもの治療は型取りをして、口の中を見ていない技工士が作りますが、ダイレクトセラミックス治療では歯科医師が自らその方に合わせて歯を作ります。

  • 3年で99.4%、10年で90%持つという極めて高い耐久性
  • 型取りがなく、虫歯除去から歯が1日で完成する
  • 型取りがなく、高い接着力を発揮する(型取りをする治療より型取りのない治療の方が高い接着力を発揮すると言われている)
  • 型取りがないので、歯を削る量を最小限にすることができる
  • 当院では、多数の論文で圧倒的な接着力を誇る接着剤を使用。大人10人ぶら下がってもとれない接着力があると言われている(1cm²に換算)。
  • 接着力が高く、また隙間・段差ができにくく虫歯再発を予防
  • 自分の歯とほとんど区別がつかない審美性

デメリット・リスク
  • 大きい虫歯治療にはあまり適さない

  • 歯軋りが重度の場合は適さない
  • 強い衝撃が加わるとチッピングといって詰めものの一部がかけることが稀にある(ただ、修理がしやすく、修理しながら歯を長寿化できる)
  • 術者の知識・技術により治療の質が大きく変わる

初診「個別」相談へのご案内

当院では、患者さんが抱えていらっしゃるお口のお悩みや疑問・不安などにお応えする機会を設けております。どんなことでも構いませんので、私たちにお話ししていただけたらと思います。
ご興味がある方は下記からお問い合わせください。

ご予約・お問い合わせ03-5927-8250

24時間初診専用
WEB予約

〒170-0005
東京都豊島区南大塚3-44-14
シティハウス南大塚レジデンス 1階

大塚駅から3分
新大塚駅から5分

PAGE TOP