金属アレルギー治療

03-5927-8250

24時間WEB予約

キービジュアル

そのアレルギー反応
銀歯原因
かもしれません

  • セラミック素材への変更
  • 「アマルガム」の除去
少しでも思い当たる点があれば、
お気軽にご相談ください。

金属アレルギーが気になる方へ

「原因がはっきりしない湿疹が続いている」「口の中が荒れやすい」「金属に触れるとかゆみが出る」などの症状に悩まれている方もいらっしゃるのではないでしょうか。 こうした不調が、お口の中にある金属と関係している場合があります。

歯科治療で使用される金属は、毎日唾液に触れ続けることで、少しずつ金属成分が溶け出すことがあります。体質によっては、それが金属アレルギー反応を引き起こし、皮膚症状や口内炎、全身の不調として現れることがあります。

歯科治療と金属アレルギーの関係

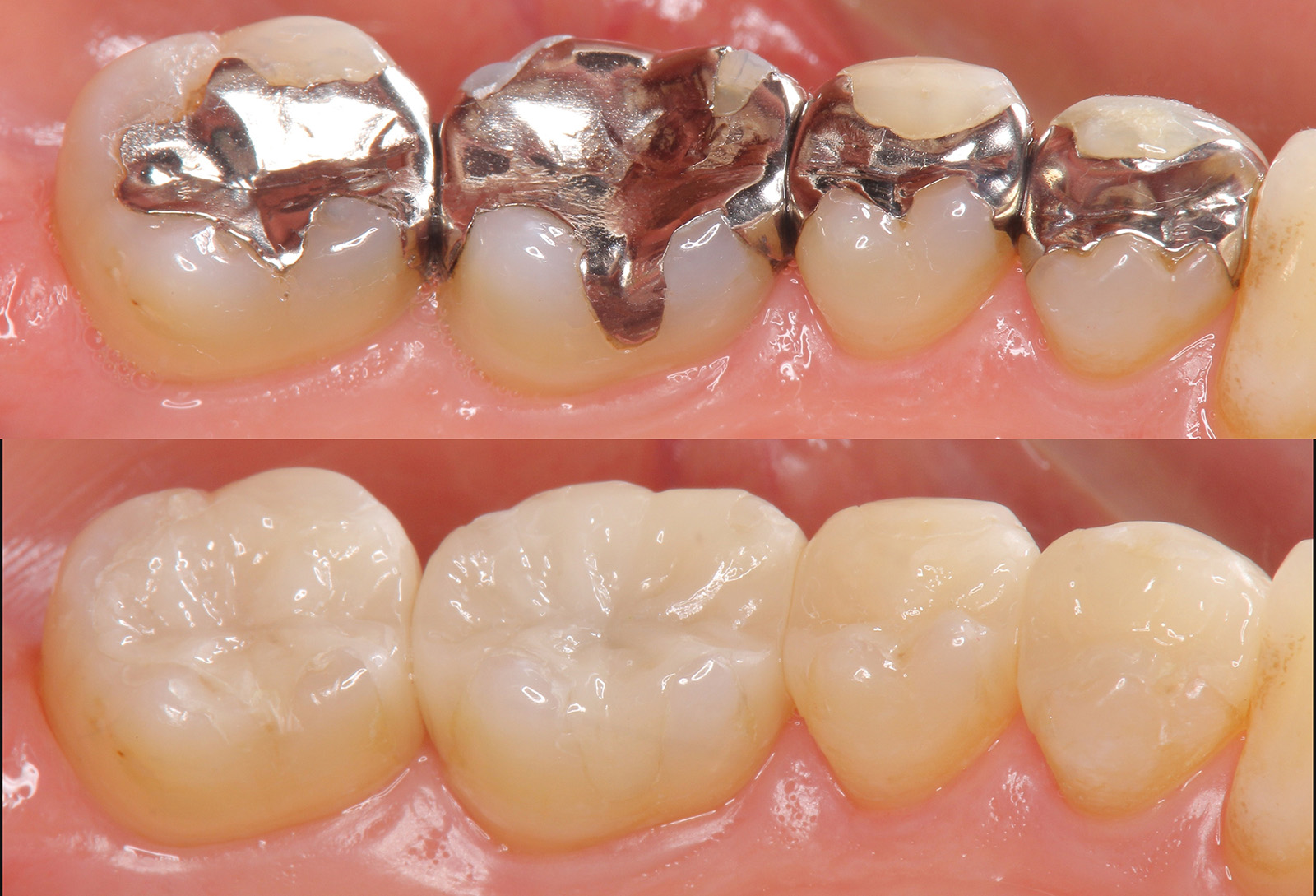
保険診療で使われる銀歯や金属の被せ物には、複数の金属が含まれています。強度や耐久性に優れていますが、体質によってはアレルギーの原因となることがあります。

特に長期間お口の中に入ったままになることで、金属イオンが体内に取り込まれやすくなり、症状が慢性的に続くケースも見られます。

金属アレルギーがある方と銀歯

すでに金属アレルギーをお持ちの方にとっても、銀歯は向かない場合があります。 お口の中に金属を入れることで、症状が悪化したり、新たな不調が出る可能性があるためです。

アクセサリーや時計などでかぶれやすい方も、歯科治療で使用する素材には注意が必要です。 当院では、治療前にしっかりとお話を伺い、使用する素材についても丁寧に検討します。

金属を使わない歯科治療という選択

当院では、金属アレルギーが心配な方や、できるだけ身体への負担を減らしたい方に向けて、金属を使用しない歯科治療をご提案しています。

金属の代わりに、セラミックやジルコニアといった素材を使用することで、金属アレルギーのリスクを避けることができます。

オールセラミック

オールセラミックは、金属を一切含まない白い素材です。 金属アレルギーの心配がなく、見た目が自然なことが特長で、前歯など見た目が気になる部位にも使われています。

表面がなめらかなため、汚れが付きにくく、清潔な状態を保ちやすい点もメリットです。

ジルコニアセラミック

ジルコニアセラミックも金属を含まない素材ですが、セラミックよりも強度に優れている点が特長です。

奥歯など噛む力が強くかかる部位にも使用でき、割れにくく、長く使いやすい素材として選ばれています。 金属アレルギーが心配な方でも、安心して使用できます。

銀歯を外す前に知っておいてほしいこと

金属アレルギーが疑われる場合でも、すべての銀歯を一度に外す必要はありません。 症状やお口の状態を確認しながら、無理のない治療計画を立てることが大切です。

当院では、現在のお口の状態を丁寧に確認したうえで、本当に治療が必要かどうか、どの歯から対応すべきかを慎重に判断しています。

要注意水銀を含んだ「アマルガム」の除去

90年代ごろまでの日本では、虫歯治療の詰め物に「アマルガム」という金属が使用されていました。 アマルガムには約50%の水銀が含まれており、身体への影響が懸念されています。

有機水銀(水俣病の原因物質)とは異なるものですが、頭痛・めまい・慢性的な疲労感などを引き起こす可能性があるといわれています。

過去に受けた虫歯治療で、原因のわからない頭痛やめまいがある場合、アマルガムの影響かもしれません。もし心当たりがある方は、一度ご相談ください。当院適切に除去して、安全な詰め物と取り替えます。

※2016年以降、アマルガムは保険適用外となり、現在はほとんど使用されていません。

初診「個別」相談へのご案内

当院では、患者さんが抱えていらっしゃるお口のお悩みや疑問・不安などにお応えする機会を設けております。どんなことでも構いませんので、私たちにお話ししていただけたらと思います。
ご興味がある方は下記からお問い合わせください。

ご予約・お問い合わせ03-5927-8250

24時間WEB予約

〒170-0005
東京都豊島区南大塚3-44-14
シティハウス南大塚レジデンス 1階

大塚駅から3分
新大塚駅から5分

PAGE TOP